• Tel: 858.663.9055
  • separatorEmail: info@nsjbio.com
  • Tel: 858.663.9055
  • Email: info@nsjbio.com
banner

Apoptosis Antibodies

Home >> Antibodies >> Apoptosis Antibodies

Apoptosis Antibodies

Apoptosis Antibodies Overview

Apoptosis Antibodies are essential reagents for investigating programmed cell death, one of the body’s most fundamental protective processes. Unlike uncontrolled necrosis, apoptosis is a controlled dismantling of the cell, executed by molecular cascades that maintain tissue balance and protect against disease.

The apoptotic machinery includes both the intrinsic (mitochondrial) and extrinsic (death receptor) pathways, which converge on caspase activation and cellular dismantling. Mitochondrial permeability, cytochrome c release, BAX and BCL-2 regulation, and caspase cleavage form the backbone of intrinsic control, while Fas/FasL and TNF signaling govern extrinsic death receptor–mediated pathways. Both culminate in DNA fragmentation, membrane blebbing, and eventual clearance by phagocytes.

Disruption of apoptosis has major consequences: resistance to apoptosis drives tumor survival, while excessive activation contributes to neurodegeneration, ischemia, and viral infections. By targeting these proteins and pathways, Apoptosis Antibodies allow researchers to monitor, quantify, and manipulate apoptosis for both discovery and therapeutic purposes.


Why Choose Apoptosis Antibodies from NSJ Bioreagents?

NSJ Bioreagents provides a robust portfolio of Apoptosis Antibodies validated for immunohistochemistry (IHC), western blotting (WB), immunofluorescence (IF), flow cytometry (FACS), and ELISA. Each antibody undergoes rigorous validation to ensure specificity, reproducibility, and reliability across different experimental contexts.

Benefits of choosing Apoptosis Antibodies from NSJ Bioreagents include:

  • Pathway Coverage: Antibodies available for caspases, BCL-2 family proteins, Fas/FasL, cytochrome c, and PARP.

  • Cross-Platform Performance: Validated for use in tissue sections, lysates, and flow cytometry.

  • Batch-to-Batch Consistency: Ensuring reproducible results for long-term projects.

  • Detailed Documentation: Each product includes technical datasheets, controls, and optimized protocols.

  • Translational Relevance: Suitable for both discovery and clinical biomarker studies.


Applications of Apoptosis Antibodies

The Apoptosis Antibodies collection supports broad applications spanning cell biology, therapeutic discovery, and clinical translation.

1) Intrinsic (Mitochondrial) Pathway

  • Detect expression of BAX, BAK, cytochrome c, and caspase-9.

  • Support studies of mitochondrial permeability transition.

  • Clarify how stressors like DNA damage and oxidative stress activate intrinsic apoptosis.

  • Validate biomarkers for translational nephrology, hepatology, and oncology.

  • Provide tools for therapeutic screening of mitochondrial stabilizers.

2) Extrinsic (Death Receptor) Pathway

  • Detect Fas, FasL, TNF receptors, and caspase-8.

  • Support studies of immune-mediated killing by cytotoxic T-cells and NK cells.

  • Clarify how viruses manipulate extrinsic pathways to evade host immunity.

  • Provide biomarkers for autoimmune disorders linked to receptor dysregulation.

  • Extend applications into translational immunotherapy pipelines.

3) Executioner Caspases and Downstream Effectors

  • Detect caspase-3, caspase-7, cleaved PARP, and DNA fragmentation.

  • Support studies of the terminal events in apoptosis.

  • Provide translational markers for chemotherapy-induced apoptosis.

  • Extend into toxicology, where executioner caspase activity signals tissue injury.

  • Offer reliable reagents for FACS-based apoptosis quantification.

4) Oncology and Cancer Therapeutics

  • Identify apoptosis resistance mechanisms in tumors.

  • Support drug discovery targeting BCL-2, IAPs, or caspase pathways.

  • Validate biomarkers for predicting patient response to chemotherapy or targeted therapy.

  • Clarify how oncogenic signaling suppresses apoptosis and promotes survival.

  • Provide translational insights for personalized oncology treatments.

5) Neurodegeneration and Neurology

  • Detect neuronal apoptosis in Alzheimer’s, Parkinson’s, and Huntington’s disease.

  • Support studies of caspase activation in synaptic and glial cells.

  • Clarify mitochondrial dysfunction and ROS as apoptosis triggers in the brain.

  • Provide translational biomarkers for neuroprotective drug testing.

  • Extend into stroke and traumatic brain injury research.

6) Immunology and Infection Biology

  • Detect apoptosis in lymphocyte homeostasis and tolerance.

  • Clarify cytotoxic T-cell–mediated killing of infected cells.

  • Support research into viral manipulation of apoptotic pathways.

  • Provide biomarkers for autoimmune diseases and immunotherapy efficacy.

  • Extend into vaccine development, where apoptosis influences immune priming.

7) Toxicology and Preclinical Research

  • Detect apoptosis in response to environmental toxins or drug candidates.

  • Provide tools for regulatory toxicology and safety pharmacology.

  • Support high-throughput apoptosis screening in pharmaceutical development.

  • Clarify tissue-specific responses in liver, heart, and kidney toxicity.

  • Ensure reproducibility in cross-laboratory toxicology assays.

8) Translational and Clinical Research

  • Provide biomarkers for stratifying patients based on apoptosis pathway activity.

  • Support diagnostics for cancers, autoimmune disorders, and neurodegeneration.

  • Offer tools for measuring therapeutic efficacy in clinical trials.

  • Contribute to personalized medicine pipelines by linking apoptosis markers to patient outcomes.

  • Ensure reproducibility from research bench to clinical application.


Why Are Apoptosis Antibodies Important?

Apoptosis is not merely a cell death program but a finely tuned safeguard that protects tissues and ensures proper development. Apoptosis Antibodies allow scientists to map this process at every step, from initiation through execution, and to identify where it goes wrong in disease.

In cancer biology, they reveal resistance mechanisms that make tumors resilient to therapy. In neurology, they clarify how excessive apoptosis drives neuronal loss and cognitive decline. In immunology, they highlight how apoptosis governs immune tolerance and cytotoxic activity. In toxicology, they provide early biomarkers of tissue damage.

Clinically, apoptosis biomarkers are increasingly used in diagnostics and patient monitoring. For example, cleaved caspase-3 levels are used in oncology trials to confirm apoptosis induction. Annexin V binding assays, supported by Apoptosis Antibodies, remain a gold standard for detecting early apoptotic cells in translational pipelines.

Reliable Apoptosis Antibodies ensure reproducibility, bridging discoveries in fundamental biology with clinical diagnostics and therapeutic innovation.


Conclusion

Apoptosis is a cornerstone of health, balancing cell survival with programmed cell death to maintain tissue integrity. Apoptosis Antibodies provide validated reagents for mapping intrinsic and extrinsic pathways, detecting caspase activation, and studying apoptosis in health and disease. By ensuring specificity, reproducibility, and assay versatility, these antibodies remain indispensable tools for advancing basic science, drug discovery, and translational medicine.

 
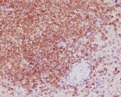
<p>IHC: Formalin-paraffin Hodgkin's lymphoma stained with Bcl-x antibody cocktail (<a href="../tds/bcl-x-antibody-cocktail-bx006-2h12-v3122" target="_blank" rel="noopener">clones BX006 + 2H12, cat # V3122</a>).</p>

IHC: Formalin-paraffin Hodgkin's lymphoma stained with Bcl-x antibody cocktail (clones BX006 + 2H12, cat # V3122).

Found all antibodies, displaying 61 to 70
Bcl-2 Antibody (clone HF-2)
Catalog No : RQ5323
Applications : IHC-P, WB
Reactivity : Human
Format : Purified
Bcl-X Antibody / BCL2L1 (clone BCL2L1/1762)
Catalog No : V8060
Applications : ELISA
Reactivity : Human
Format : Purified
Bcl-X Antibody / BCL2L1 (clone BCL2L1/2406)
Catalog No : V8062
Applications : IHC-P
Reactivity : Human
Format : Purified
Bcl-X Antibody / BCL2L1 (clone SPM519)
Catalog No : V8301
Applications : IHC-P
Reactivity : Human
Format : Purified
A20 Antibody / TNFAIP3 (clone TNFAIP3/2813)
Catalog No : V8384
Applications : IHC-P
Reactivity : Human
Format : Purified
Phospho-CREB1 Antibody (pS133)
Catalog No : F54407
Applications : IHC-P, WB
Reactivity : Human
Format : Purified
PI3KR1 Antibody
Catalog No : F54451
Applications : IF, WB, FACS, IHC-P
Reactivity : Human, Rat
Format : Purified
AIFM1 Antibody / AIF / Apoptosis-Inducing Factor
Catalog No : F54468
Applications : FACS, IHC-P, WB, IF
Reactivity : Human
Format : Purified
Bid Antibody / BH3-Interacting Domain Death Agonist (clone 1519CT649.18.47)
Catalog No : F54478
Applications : WB, IHC-P, IF
Reactivity : Human
Format : Purified
TNFR1-associated DEATH domain protein Antibody / TRADD
Catalog No : F54628
Applications : IF, FACS, IHC-P, WB
Reactivity : Human
Format : Purified