• Tel: 858.663.9055
  • SeparatorEmail: info@nsjbio.com
  • Tel: 858.663.9055
  • Email: info@nsjbio.com
Home >> Antibodies >> BID Antibody / BH3-Interacting Domain Death Agonist

BID Antibody / BH3-Interacting Domain Death Agonist [clone 1519CT649.18.47] (F54478)

  Catalog No Formulation Size Price (USD)  
Image F54478-0.2ML In 1X PBS, pH 7.4, with 0.09% sodium azide 0.2 ml 429
Image
F54478-0.05ML In 1X PBS, pH 7.4, with 0.09% sodium azide 0.05 ml 199
Bulk quote request
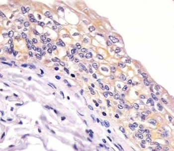
IHC testing of FFPE human bladder tissue with BID antibody. HIER: steam section in pH6 citrate buffer for 20 min and allow to cool prior to staining.
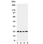
Western blot testing of human 1) Jurkat, 2) A431, 3) ThP-1 and 4) 293T cell lysate with BID antibody. Predicted molecular weight ~22 kDa.
Western blot testing of human 1) Jurkat, 2) A431, 3) MDA-MB-231, 4) Raji, 5) Jurkat and 6) ThP-1 cell lysate with BID antibody. Predicted molecular weight ~22 kDa.
Immunofluorescent staining of fixed and permeabilized human A549 cells with BID antibody (green), DAPI nuclear stain (blue) and anti-Actin (red).
Availability 1-3 business days
Species Reactivity Human
Format Purified
Clonality Monoclonal (mouse origin)
Isotype IgG1,k
Clone Name 1519CT649.18.47
Purity Protein G affinity
UniProt P55957
Localization Cytoplasmic
Applications Western Blot : 1:500-1:2000
Immunohistochemistry (FFPE) : 1:25
Immunofluorescence : 1:25
Limitations This BID antibody is available for research use only.
Review this product on BioCompare and get a $20 Amazon gift card

Related Products

Description

The major proteolytic product p15 BID allows the release of cytochrome c (By similarity). Isoform 1, isoform 2 and isoform 4 induce ICE-like proteases and apoptosis. Isoform 3 does not induce apoptosis. Counters the protective effect of Bcl-2.

Application Notes

The stated application concentrations are suggested starting points. Titration of the BID antibody may be required due to differences in protocols and secondary/substrate sensitivity.

Immunogen

Recombinant human protein was used as the immunogen for the BID antibody.

Storage

Aliquot the BID antibody and store frozen at -20oC or colder. Avoid repeated freeze-thaw cycles.

Cross
Bulk Quote Request Form
Name*:
Organization*:
Email*:
Phone Number*:
Catalog No.*:
Comments and Specifics(amount, formulation, etc.)*:
Validation code: Captchapackage Image


Can't read the image? click here to refresh.
    *required field

Your bulk quote request has been submitted successfully!

Please contact us if you have any questions.