• Tel: 858.663.9055
  • SeparatorEmail: info@nsjbio.com
  • Tel: 858.663.9055
  • Email: info@nsjbio.com
Home >> Antibodies >> Phospho-CREB Antibody (pS133)

Phospho-CREB Antibody (pS133) (F54407)

  Catalog No Formulation Size Price (USD)  
Image F54407-0.4ML In 1X PBS, pH 7.4, with 0.09% sodium azide 0.4 ml 429
Image
F54407-0.08ML In 1X PBS, pH 7.4, with 0.09% sodium azide 0.08 ml 199
Bulk quote request
Western blot testing of lysate from HeLa cells treated or untreated with TPA, using phospho-CREB antibody.
Western blot testing of lysate from HeLa cells treated or untreated with TPA, using phospho-CREB antibody.
Western blot testing of lysate from HeLa cells treated or untreated with Calyculin A, using phospho-CREB antibody.
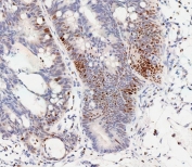
IHC testing of FFPE human colon carcinoma tissue with phospho-CREB antibody antibody. HIER: steam section in pH9 EDTA for 20 min and allow to cool prior to staining.
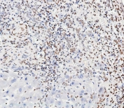
IHC testing of FFPE human hepatocarcinoma tissue with phospho-CREB antibody antibody. HIER: steam section in pH9 EDTA for 20 min and allow to cool prior to staining.
Availability 1-3 business days
Species Reactivity Human
Format Purified
Clonality Polyclonal (rabbit origin)
Isotype Rabbit Ig
Purity Antigen affinity purified
UniProt P16220
Localization Nuclear
Applications Immunohistochemistry (FFPE) : 1:25
Western Blot : 1:500-1:2000
Limitations This phospho-CREB antibody is available for research use only.
Review this product on BioCompare and get a $20 Amazon gift card

Related Products

Description

CREB is a transcription factor that is a member of the leucine zipper family of DNA binding proteins. This protein binds as a homodimer to the cAMP-responsive element, (CRE), a sequence present in many viral and cellular promoters. The protein is phosphorylated by several protein kinases, and induces transcription of genes in response to hormonal stimulation of the cAMP pathway.

Application Notes

The stated application concentrations are suggested starting points. Titration of the phospho-CREB antibody may be required due to differences in protocols and secondary/substrate sensitivity.

Immunogen

The amino acids surrounding phosphorylated serine 133 from the human protein were used as the immunogen for the phospho-CREB antibody.

Storage

Aliquot the phospho-CREB antibody and store frozen at -20oC or colder. Avoid repeated freeze-thaw cycles.

Cross
Bulk Quote Request Form
Name*:
Organization*:
Email*:
Phone Number*:
Catalog No.*:
Comments and Specifics(amount, formulation, etc.)*:
Validation code: Captchapackage Image


Can't read the image? click here to refresh.
    *required field

Your bulk quote request has been submitted successfully!

Please contact us if you have any questions.