• Tel: 858.663.9055
  • separatorEmail: info@nsjbio.com
  • Tel: 858.663.9055
  • Email: info@nsjbio.com
banner

Neuroscience Antibodies

Home >> Antibodies >> Neuroscience Antibodies

Neuroscience Antibodies

Neuroscience Antibody Overview

Neuroscience Antibody detects proteins involved in the structure, function, and regulation of the nervous system. The brain and spinal cord are composed of a vast array of cell types, including neurons, astrocytes, oligodendrocytes, and microglia, each expressing distinct protein markers that can be detected with Neuroscience Antibodies. These proteins include ion channels, neurotransmitter receptors, synaptic vesicle proteins, adhesion molecules, and structural elements such as neurofilaments.

Because the nervous system is central to cognition, movement, and sensory processing, disruptions in neural proteins are linked to a broad range of conditions, from Alzheimer’s disease and Parkinson’s disease to epilepsy and autism spectrum disorders. The Neuroscience Antibody is therefore a foundational tool for researchers seeking to understand the molecular mechanisms of neural communication, brain plasticity, and neurological disease. Neuroscience Antibodies are also critical for translational research, where they help evaluate how potential therapies modulate neuronal pathways.


Why Choose Neuroscience Antibodies from NSJ Bioreagents?

NSJ Bioreagents provides Neuroscience Antibodies validated for immunohistochemistry, immunofluorescence, western blotting, ELISA, and immunoprecipitation. Each Neuroscience Antibody undergoes rigorous specificity testing to confirm accurate detection of neural proteins while minimizing cross-reactivity.

By selecting a Neuroscience Antibody from NSJ Bioreagents, scientists gain reagents optimized for clarity and reproducibility. These antibodies provide sharp immunohistochemical staining in brain and spinal cord tissue, reliable bands in western blotting, and dependable performance in multiplex assays. With technical documentation, positive control recommendations, and optimized protocols, NSJ Bioreagents ensures that Neuroscience Antibodies deliver reliable data for both basic research and translational projects.


Applications of Neuroscience Antibodies

The Neuroscience Antibody is used across a wide spectrum of research disciplines. Its versatility stems from the diversity of neural proteins and their central roles in brain function and disease.

1) Neurodevelopment and Differentiation

  • Neuroscience Antibodies identify transcription factors and structural proteins that guide neuronal differentiation.

  • The Neuroscience Antibody is applied in stem cell research to confirm neural lineage commitment.

  • Researchers use Neuroscience Antibodies to study how neurons, astrocytes, and oligodendrocytes emerge during brain development.

2) Synaptic Function and Plasticity

  • The Neuroscience Antibody is used to detect synaptic vesicle proteins such as synaptophysin and synapsins.

  • Neuroscience Antibodies identify neurotransmitter receptors (AMPA, NMDA, GABA, dopamine) critical for signal transmission.

  • These antibodies are applied in long-term potentiation and depression studies to uncover molecular mechanisms of learning and memory.

3) Neurodegenerative Disorders

  • The Neuroscience Antibody is widely applied in Alzheimer’s disease research to detect amyloid precursor protein, tau, and synaptic loss markers.

  • Neuroscience Antibodies are also critical in Parkinson’s research, where they detect α-synuclein and dopaminergic neuron markers.

  • In ALS and Huntington’s disease, the Neuroscience Antibody helps quantify protein mislocalization and aggregation.

4) Neuropathology and Brain Injury

  • The Neuroscience Antibody supports pathology by detecting glial fibrillary acidic protein (GFAP) in astrocytosis.

  • Neuroscience Antibodies are applied in traumatic brain injury models to monitor microglial activation and neuronal loss.

  • The Neuroscience Antibody helps assess ischemic injury by measuring nuclear and cytoplasmic markers of neuronal stress.

5) Psychiatric and Behavioral Research

  • Neuroscience Antibodies detect receptors and signaling proteins implicated in schizophrenia, depression, and anxiety disorders.

  • The Neuroscience Antibody is used in animal models to monitor changes in neural circuits during stress or drug exposure.

6) Translational Research and Therapeutics

  • Neuroscience Antibodies validate drug effects on neural proteins in preclinical studies.

  • The Neuroscience Antibody is used in biomarker discovery to identify protein changes predictive of therapeutic outcomes.

  • In regenerative medicine, Neuroscience Antibodies confirm differentiation of stem-cell derived neurons for cell therapy.


Why Are Neuroscience Antibodies Important?

The nervous system controls thought, movement, and perception. The Neuroscience Antibody provides the precision needed to measure proteins that regulate these processes. Without Neuroscience Antibodies, it would be nearly impossible to dissect the molecular mechanisms of cognition, memory, or neurological disease.

In neurodegenerative disease research, Neuroscience Antibodies highlight the proteins that misfold or aggregate, offering therapeutic targets. In psychiatric research, the Neuroscience Antibody helps identify signaling abnormalities in brain circuits. In drug discovery, Neuroscience Antibodies provide critical validation that experimental compounds are modifying neural pathways as intended.

Neuroscience Antibodies also bridge the gap between laboratory and clinic. They are applied to human biopsy and autopsy samples, allowing translational comparison between animal models and patient tissue. As biomarkers of disease progression and treatment response, Neuroscience Antibodies advance the movement toward precision medicine in neurology.


Conclusion

The nervous system is among the most complex biological networks, and its dysfunction contributes to some of the most challenging diseases. The Neuroscience Antibody enables scientists to study the proteins that sustain neural activity and plasticity, while Neuroscience Antibodies more broadly support advances in developmental biology, neurodegeneration, psychiatry, and translational medicine. By providing clarity on molecular processes, these antibodies remain essential for discovery and innovation in brain research.

 

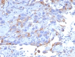
<p>IHC staining of FFPE human brain with recombinant <a href="../tds/recombinant-myelin-basic-protein-antibody-mbp4277r-v8436" target="_blank" rel="noopener">Myelin Basic Protein antibody</a> (clone MBP/4277R).</p>

IHC staining of FFPE human brain with recombinant Myelin Basic Protein antibody (clone MBP/4277R).

Found all antibodies, displaying 3031 to 3040
NSE Antibody / Neuron Specific Enolase (clone ENO2/4507)
Catalog No : V4222
Applications : WB, IHC-P
Reactivity : Human
Format : Purified
Microvalidated
NSE Antibody / Neuron Specific Enolase (clone ENO2/7447)
Catalog No : V4223
Applications : IHC-P
Reactivity : Human
Format : Purified
Microvalidated
NSE Antibody / Neuron Specific Enolase (clone rENO/8684)
Catalog No : V4225
Applications : IHC-P
Reactivity : Human
Format : Purified
Recmousemono
NSE Antibody / Neuron Specific Enolase (clone rENO/8857)
Catalog No : V4226
Applications : IHC-P
Reactivity : Human
Format : Purified
Recmousemono
NSE Antibody / Neuron Specific Enolase (clone ENO/8253R)
Catalog No : V4230
Applications : IHC-P
Reactivity : Human
Format : Purified
Recrabbitmono
NSE Antibody / Neuron Specific Enolase (clone ENO/8614R)
Catalog No : V4231
Applications : IHC-P
Reactivity : Human
Format : Purified
Recrabbitmono
NSE Antibody / Neuron Specific Enolase (clone ENO/8632R)
Catalog No : V4232
Applications : IHC-P, WB
Reactivity : Human
Format : Purified
Recrabbitmono
GPRC5A Antibody / Retinoic acid-induced protein 3 / PEIG-1 (clone GPRC5A/7893)
Catalog No : V4236
Applications : IHC-P
Reactivity : Human
Format : Purified
CD91 Antibody / LRP1 / A2MR (clone LRP1/6784)
Catalog No : V4267
Applications : IHC-P
Reactivity : Human
Format : Purified
HDAC7 Antibody (clone PCRP-HDAC7-1B6)
Catalog No : V4274
Applications : FACS
Reactivity : Human
Format : Purified
Microvalidated