• Tel: 858.663.9055
  • SeparatorEmail: info@nsjbio.com
  • Tel: 858.663.9055
  • Email: info@nsjbio.com
Home >> Antibodies >> Gamma Enolase Antibody / NSE / ENO2

Gamma Enolase Antibody / NSE / ENO2 [clone ENO2/4507] (V4222)

  Catalog No Formulation Size Price (USD)  
Image V4222-100UG 0.2 mg/ml in 1X PBS with 0.1 mg/ml BSA (US sourced), 0.05% sodium azide 100 ug 539
Image
V4222-20UG 0.2 mg/ml in 1X PBS with 0.1 mg/ml BSA (US sourced), 0.05% sodium azide 20 ug 249
Image
V4222SAF-100UG 1 mg/ml in 1X PBS; BSA free, sodium azide free 100 ug 539
Microvalidated
Bulk quote request
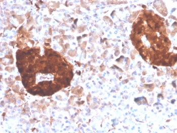
IHC staining of FFPE human pancreas tissue with Gamma Enolase antibody (clone ENO2/4507). HIER: boil tissue sections in pH 9 10mM Tris with 1mM EDTA for 20 min and allow to cool before testing.
IHC staining of FFPE human pancreas tissue with Gamma Enolase antibody (clone ENO2/4507). HIER: boil tissue sections in pH 9 10mM Tris with 1mM EDTA for 20 min and allow to cool before testing.
Western blot testing of human A431 cell lysate with Gamma Enolase antibody (clone ENO2/4507). Predicted molecular weight ~47 kDa.
Analysis of a HuProt(TM) microarray containing more than 19,000 full-length human proteins using Gamma Enolase antibody (ENO2/4507). Z- and S- Score: The Z-score represents the strength of a signal that a monoclonal antibody (in combination with a fluorescently-tagged anti-IgG secondary antibody) produces when binding to a particular protein on the HuProt(TM) array. Z-scores are described in units of standard deviations (SD's) above the mean value of all signals generated on that array. If targets on HuProt(TM) are arranged in descending order of the Z-score, the S-score is the difference (also in units of SD's) between the Z-score. S-score therefore represents the relative target specificity of a mAb to its intended target. A mAb is considered to specific to its intended target, if the mAb has an S-score of at least 2.5. For example, if a mAb binds to protein X with a Z-score of 43 and to protein Y with a Z-score of 14, then the S-score for the binding of that mAb to protein X is equal to 29.
Availability 1-3 business days
Species Reactivity Human
Format Purified
Clonality Monoclonal (mouse origin)
Isotype Mouse IgG2b, kappa
Clone Name ENO2/4507
Purity Protein A/G affinity
UniProt P09104
Localization Cytoplasm
Applications Western Blot : 1-2ug/ml
Immunohistochemistry (FFPE) : 1-2ug/ml for 30 minutes at RT
Limitations This Gamma Enolase antibody is available for research use only.
Review this product on BioCompare and get a $20 Amazon gift card

Related Products

Description

This monoclonal antibody recognizes a protein of about 50kDa, which is identified as gamma-enolase. Three isoenzymes of enolases are identified, alpha, beta and gamma. Alpha-isoform is expressed in most tissues, whereas beta-form is expressed predominantly in muscle tissue whereas gamma-enolase is found only in nervous tissue. These isoforms exist as both homodimers and heterodimers, and they play a role in converting phosphoglyceric acid to phosphenolpyruvic acid in the glycolytic pathway. NSE-gamma is a useful marker to identify peripheral nerves and tumors of neuro-endocrine origins, such as pheochromocytomas.It it be usually employed in combination with other markers such as Synaptophysin,Chromogranin A, and Neurofilament.

Application Notes

Optimal dilution of the Gamma Enolase antibody should be determined by the researcher.

Immunogen

A recombinant fragment of human NSE gamma (within amino acids 416-433) was used as the immunogen for the Gamma Enolase antibody.

Storage

Aliquot the Gamma Enolase antibody and store frozen at -20oC or colder. Avoid repeated freeze-thaw cycles.

Cross
Bulk Quote Request Form
Name*:
Organization*:
Email*:
Phone Number*:
Catalog No.*:
Comments and Specifics(amount, formulation, etc.)*:
Validation code: Captchapackage Image


Can't read the image? click here to refresh.
    *required field

Your bulk quote request has been submitted successfully!

Please contact us if you have any questions.