• Tel: 858.663.9055
  • SeparatorEmail: info@nsjbio.com
  • Tel: 858.663.9055
  • Email: info@nsjbio.com
Home >> Antibodies >> PEIG-1 Antibody / RAI3 / GPRC5A

PEIG-1 Antibody / RAI3 / GPRC5A [clone GPRC5A/7893] (V4236)

  Catalog No Formulation Size Price (USD)  
Image V4236-100UG 0.2 mg/ml in 1X PBS with 0.1 mg/ml BSA (US sourced), 0.05% sodium azide 100 ug 539
Image
V4236-20UG 0.2 mg/ml in 1X PBS with 0.1 mg/ml BSA (US sourced), 0.05% sodium azide 20 ug 249
Image
V4236SAF-100UG 1 mg/ml in 1X PBS; BSA free, sodium azide free 100 ug 539
Bulk quote request
IHC staining of FFPE human bladder tissue with PEIG-1 antibody (clone GPRC5A/7893). HIER: boil tissue sections in pH 9 10mM Tris with 1mM EDTA for 20 min and allow to cool before testing.
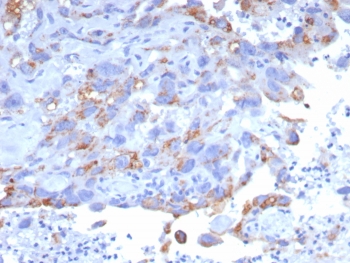
IHC staining of FFPE human bladder carcinoma with PEIG-1 antibody (clone GPRC5A/7893). Inset: PBS used in place of primary Ab (secondary Ab negative control). HIER: boil tissue sections in pH 9 10mM Tris with 1mM EDTA for 20 min and allow to cool before testing.
Availability 1-3 business days
Species Reactivity Human
Format Purified
Clonality Monoclonal (mouse origin)
Isotype Mouse IgG1, kappa
Clone Name GPRC5A/7893
Purity Protein A/G affinity
UniProt Q8NFJ5
Localization Cell membrane, Cytoplasmic
Applications Immunohistochemistry (FFPE) : 1-2ug/ml for 30 minutes at RT
Limitations This PEIG-1 antibody is available for research use only.
Review this product on BioCompare and get a $20 Amazon gift card

Related Products

Description

Retinoic acid-induced protein 3 (RAI3), also called Phorbol ester induced gene 1 (PEIG-1) and GPRC5A, is an transmembrane G protein-coupled receptor that affects many essential biological processes including embryogenesis, cell growth, differentiation, and apoptosis. PEIG-1 may also be involved in maintaining homeostasis of epithelial cells. Retinoic acid receptors directly regulate PEIG-1 during its transcription in embryonal carcinoma differentiation. PEIG-1 expression is upregulated in most tumor cell lines that express mutant p53, suggesting that p53 interacts with the promoter of PEIG-1 and represses its expression at the beginning of apoptosis. PEIG-1 is a potential molecular target for diagnosing breast cancer, and selective suppression of signals from PEIG-1 may have a place in breast cancer treatments.

Application Notes

Optimal dilution of the PEIG-1 antibody should be determined by the researcher.

Immunogen

A recombinant partial protein sequence (within amino acids 200-357) from the human protein was used as the immunogen for the PEIG-1 antibody.

Storage

Aliquot the PEIG-1 antibody and store frozen at -20oC or colder. Avoid repeated freeze-thaw cycles.

Cross
Bulk Quote Request Form
Name*:
Organization*:
Email*:
Phone Number*:
Catalog No.*:
Comments and Specifics(amount, formulation, etc.)*:
Validation code: Captchapackage Image


Can't read the image? click here to refresh.
    *required field

Your bulk quote request has been submitted successfully!

Please contact us if you have any questions.