• Tel: 858.663.9055
  • separatorEmail: info@nsjbio.com
  • Tel: 858.663.9055
  • Email: info@nsjbio.com
banner

Human Protein Microarray Validated Antibody / Antibodies

Home >> Antibodies >> Human Protein Microarray Validated Antibody / Antibodies

Human Protein Microarray Validated Antibody / Antibodies

Human Protein Microarray Validated Antibody Overview

Human Protein Microarray Validated Antibody reagents represent a high standard of antibody validation, offering researchers exceptional confidence in specificity and reproducibility. Antibody validation is a critical factor in modern science, as cross-reactivity or non-specific binding can undermine experimental outcomes. Human protein microarrays contain thousands of unique proteins expressed from the human genome, enabling comprehensive testing of antibody interactions.

When an antibody passes microarray validation, it has been screened against a vast panel of human proteins to confirm that it binds only its intended target. This rigorous process reduces false positives and enhances reproducibility across assays. The Human Protein Microarray Validated Antibody ensures that signals in immunoassays arise from specific antigen recognition rather than background cross-reactivity.

By selecting Human Protein Microarray Validated Antibodies, researchers can trust that their reagents have been vetted under one of the most stringent validation methods available in biomedical science.


Why Choose Human Protein Microarray Validated Antibodies from NSJ Bioreagents?

NSJ Bioreagents offers Human Protein Microarray Validated Antibodies that have undergone extensive quality assurance. Each antibody is screened on human protein arrays, ensuring specificity and reducing the likelihood of off-target interactions.

By choosing a Human Protein Microarray Validated Antibody from NSJ Bioreagents, scientists gain reagents optimized for reproducibility, making them suitable for both discovery research and translational studies. Our validation process enhances confidence in applications such as immunohistochemistry, western blotting, flow cytometry, ELISA, and immunofluorescence. Detailed datasheets, usage recommendations, and experimental controls further support the reliability of these reagents.


Applications of Human Protein Microarray Validated Antibodies

The Human Protein Microarray Validated Antibody is versatile and applicable across many fields of biomedical science.

1) Immunohistochemistry (IHC) and Immunofluorescence (IF)

  • Human Protein Microarray Validated Antibodies ensure staining reflects true antigen localization.

  • The Human Protein Microarray Validated Antibody reduces the risk of cross-reactive signals in tissue sections.

2) Western Blotting and Protein Detection

  • Human Protein Microarray Validated Antibodies provide clarity in protein bands.

  • The Human Protein Microarray Validated Antibody minimizes background, improving interpretation.

3) Flow Cytometry

  • Human Protein Microarray Validated Antibodies provide confidence in multiparametric immune profiling.

  • The Human Protein Microarray Validated Antibody ensures accurate gating and subset analysis.

4) ELISA and Quantitative Assays

  • Human Protein Microarray Validated Antibodies ensure signal specificity in quantitative assays.

  • The Human Protein Microarray Validated Antibody supports biomarker discovery and validation.

5) Translational Research and Clinical Studies

  • Human Protein Microarray Validated Antibodies confirm specificity of biomarkers under clinical investigation.

  • The Human Protein Microarray Validated Antibody is suitable for preclinical therapeutic validation.

6) Therapeutic Antibody Development

  • Human Protein Microarray Validated Antibodies provide reference controls for drug development.

  • The Human Protein Microarray Validated Antibody supports safety testing by ensuring minimal cross-reactivity.


Why Are Human Protein Microarray Validated Antibodies Important?

Specificity is the cornerstone of antibody-based research. The Human Protein Microarray Validated Antibody delivers assurance that the observed signal reflects genuine antigen recognition. Meanwhile, Human Protein Microarray Validated Antibodies more broadly represent a category of reagents that elevate research standards by minimizing false positives and irreproducible results.

In basic biology, these antibodies ensure accurate mapping of protein localization and signaling. In disease-focused studies, Human Protein Microarray Validated Antibodies highlight dysregulated proteins with confidence. In translational medicine, they support biomarker validation and therapeutic development with reduced risk of cross-reactivity.

Clinically, validation of antibody specificity is critical for diagnostic assay development and therapeutic antibody safety. By providing rigorously tested reagents, the Human Protein Microarray Validated Antibody bridges discovery science with clinical application.


Conclusion

Human protein microarray screening provides one of the most comprehensive validation platforms available. The Human Protein Microarray Validated Antibody equips researchers and clinicians with a reagent that has passed rigorous specificity testing, while Human Protein Microarray Validated Antibodies more broadly ensure reliability across IHC, WB, flow cytometry, ELISA, and translational research. By minimizing cross-reactivity and enhancing reproducibility, these antibodies remain indispensable for advancing biomedical discovery and clinical science.

 

<p>Analysis of HuProt(TM) microarray containing more than 19,000 full-length human proteins using <a href="../tds/ki67-antibody-mki672462-v3864" target="_blank" rel="noopener">Ki67 antibody</a> (clone MKI67/2462). These results demonstrate the foremost specificity of the MKI67/2462 mAb.</p>

Analysis of HuProt(TM) microarray containing more than 19,000 full-length human proteins using Ki67 antibody (clone MKI67/2462). These results demonstrate the foremost specificity of the MKI67/2462 mAb.

Found all antibodies, displaying 391 to 400
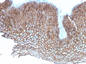
Desmoglein 3 Antibody / DSG3 (clone DSG3/2840)
Catalog No : V7721
Applications : IHC-P
Reactivity : Human
Format : Purified
Microvalidated
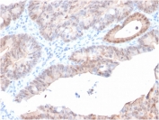
Desmoglein 3 Antibody / DSG3 (clone DSG3/2796)
Catalog No : V7722
Applications : ELISA
Reactivity : Human
Format : Purified
Microvalidated
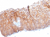
Desmoglein 3 Antibody / DSG3 (clone DSG3/2837)
Catalog No : V7931
Applications : IHC-P
Reactivity : Human
Format : Purified
Microvalidated
Desmoglein 3 Antibody / DSG3 (clone DSG3/2838)
Catalog No : V7932
Applications : IHC-P
Reactivity : Human
Format : Purified
Microvalidated
Desmoglein 3 Antibody / DSG3 (clone DSG3/2839)
Catalog No : V7933
Applications : IHC-P
Reactivity : Human
Format : Purified
Microvalidated
ARK1C2 Antibody / Aldo-keto Reductase Family 1 Member C2 (clone CPTC-AKR1C2-1)
Catalog No : V7715
Applications : WB, IHC-P
Reactivity : Human
Format : Purified
Microvalidated
Decorin Antibody (clone DCN/3523)
Catalog No : V7713
Applications : IHC-P
Reactivity : Human
Format : Purified
Microvalidated
CTSK Antibody / Cathepsin K (clone CTSK/2793)
Catalog No : V7707
Applications : IHC-P
Reactivity : Human
Format : Purified
Microvalidated
CTSK Antibody / Cathepsin K (clone CTSK/2792)
Catalog No : V7706
Applications : IHC-P
Reactivity : Human
Format : Purified
Microvalidated
ZNF690 Antibody / ZSCAN29 (clone ZSCAN29/2610)
Catalog No : V7697
Applications : ELISA, IHC-P
Reactivity : Human
Format : Purified
Microvalidated