• Tel: 858.663.9055
  • SeparatorEmail: info@nsjbio.com
  • Tel: 858.663.9055
  • Email: info@nsjbio.com
Home >> Antibodies >> ARK1C2 Antibody / Aldo-keto Reductase Family 1 Member C2

ARK1C2 Antibody / Aldo-keto Reductase Family 1 Member C2 [clone CPTC-AKR1C2-1] (V7715)

  Catalog No Formulation Size Price (USD)  
Image V7715-100UG 0.2 mg/ml in 1X PBS with 0.1 mg/ml BSA (US sourced) and 0.05% sodium azide 100 ug 539
Image
V7715-20UG 0.2 mg/ml in 1X PBS with 0.1 mg/ml BSA (US sourced) and 0.05% sodium azide 20 ug 249
Image
V7715SAF-100UG 1 mg/ml in 1X PBS; BSA free, sodium azide free 100 ug 539
Microvalidated
Bulk quote request
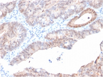
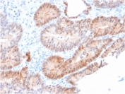
IHC staining of FFPE human prostate carcinoma with AKR1C2 antibody (clone CPTC-AKR1C2-1). HIER: boil tissue sections in pH 9 10mM Tris with 1mM EDTA for 10-20 min and allow to cool before testing.
IHC staining of FFPE human prostate carcinoma with AKR1C2 antibody (clone CPTC-AKR1C2-1). HIER: boil tissue sections in pH 9 10mM Tris with 1mM EDTA for 10-20 min and allow to cool before testing.
Western blot testing of human HeLa, K562 and A431 cell lysate with AKR1C2 antibody (clone CPTC-AKR1C2-1). Predicted molecular weight ~37 kDa.
Analysis of HuProt(TM) microarray containing more than 19,000 full-length human proteins using AKR1C2 antibody (clone CPTC-AKR1C2-1). These results demonstrate the foremost specificity of the CPTC-AKR1C2-1 mAb.
Z- and S- score: The Z-score represents the strength of a signal that an antibody (in combination with a fluorescently-tagged anti-IgG secondary Ab) produces when binding to a particular protein on the HuProt(TM) array. Z-scores are described in units of standard deviations (SD's) above the mean value of all signals generated on that array. If the targets on the HuProt(TM) are arranged in descending order of the Z-score, the S-score is the difference (also in units of SD's) between the Z-scores. The S-score therefore represents the relative target specificity of an Ab to its intended target.
SDS-PAGE analysis of purified, BSA-free AKR1C2 antibody (clone CPTC-AKR1C2-1) as confirmation of integrity and purity.
Availability 1-3 business days
Species Reactivity Human
Format Purified
Clonality Monoclonal (mouse origin)
Isotype Mouse IgG2a, kappa
Clone Name CPTC-AKR1C2-1
Purity Protein G affinity chromatography
UniProt P52895
Localization Cytoplasmic
Applications Western Blot : 1-2ug/ml
Immunohistochemistry (FFPE) : 1-2ug/ml
Limitations This AKR1C2 antibody is available for research use only.
Review this product on BioCompare and get a $20 Amazon gift card

Description

DDH2 / AKR1C2 is a member of the aldo/keto reductase superfamily, which consists of more than 40 known enzymes and proteins. These enzymes catalyze the conversion of aldehydes and ketones to their corresponding alcohols by utilizing NADH and/or NADPH as cofactors. The enzymes display overlapping but distinct substrate specificity. This enzyme catalyzes the reaction of progesterone to the inactive form 20-alpha-hydroxy-progesterone.

Application Notes

Optimal dilution of the AKR1C2 antibody should be determined by the researcher.

Immunogen

A recombinant human full-length AKR1C2 protein was used as the immunogen for the AKR1C2 antibody.

Storage

Store the AKR1C2 antibody at 2-8oC (with azide) or aliquot and store at -20oC or colder (without azide).

Cross
Bulk Quote Request Form
Name*:
Organization*:
Email*:
Phone Number*:
Catalog No.*:
Comments and Specifics(amount, formulation, etc.)*:
Validation code: Captchapackage Image


Can't read the image? click here to refresh.
    *required field

Your bulk quote request has been submitted successfully!

Please contact us if you have any questions.