• Tel: 858.663.9055
  • separatorEmail: info@nsjbio.com
  • Tel: 858.663.9055
  • Email: info@nsjbio.com
banner

Recombinant Antibody / Antibodies

Home >> Antibodies >> Recombinant Antibody / Antibodies

Recombinant Antibody / Antibodies

In the constantly evolving world of biotechnology, recombinant antibodies are emerging as game-changers in the field of diagnostics and research. These recombinant monoclonal antibodies can be quickly expressed, allowing for greater lot-to-lot consistency and reliability in a range of applications, including immunohistochemistry, western blot, immunofluorescence and flow cytometry.

One of the key advantages of recombinant antibodies is their high degree of lot-to-lot consistency. Traditional polyclonal antibodies, derived from the immune response of animals, can vary in quality from batch to batch. In contrast, recombinant antibodies are produced in a controlled laboratory environment, ensuring uniformity and reliability in their performance.

This consistency is particularly crucial in techniques like immunohistochemistry, where accurate and reproducible results are essential for diagnosing diseases and studying cellular processes. Recombinant antibodies provide researchers with a reliable tool for precisely identifying specific proteins within tissues, leading to more accurate diagnoses and research findings.

In western blot testing, recombinant antibodies also offer significant advantages. Their consistent performance allows for the detection of target proteins with high sensitivity and specificity, making them valuable tools for studying protein expression and interactions. Researchers can trust that recombinant antibodies will provide reliable and reproducible results.

Overall, the use of recombinant antibodies is revolutionizing testing techniques in the field of biotechnology. Their reliability and consistency make them invaluable tools for a wide range of applications, from basic research to clinical diagnostics. As technology advances and our understanding of disease mechanisms grows, recombinant antibodies will continue to play a crucial role in advancing scientific knowledge and, in turn, improving healthcare outcomes. 

NSJ Bioreagents is an industry leader in the field of mouse and rabbit origin recombinant antibodies and a go-to source for researchers seeking reliable reagents for their experiments. We offer a rapidly expanding line of recombinant antibodies:
Found all antibodies, displaying 1701 to 1710
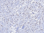
Carboxypeptidase A1 Antibody / CPA1 (clone CPA1/8163R)
Catalog No : V5257
Applications : IHC-P
Reactivity : Human
Format : Purified
Recrabbitmono
Carboxypeptidase A1 Antibody / CPA1 (clone CPA1/8258R)
Catalog No : V5258
Applications : IHC-P
Reactivity : Human
Format : Purified
Recrabbitmono
CDH17 Antibody / Cadherin 17 (clone CDH17/8513R)
Catalog No : V5259
Applications : IHC-P, WB
Reactivity : Human
Format : Purified
Recrabbitmono
CDH17 Antibody / Cadherin 17 (clone CDH17/8515R)
Catalog No : V5260
Applications : IHC-P, WB
Reactivity : Human
Format : Purified
Recrabbitmono
CDH17 Antibody / Cadherin 17 (clone CDH17/8158R)
Catalog No : V5261
Applications : IHC-P
Reactivity : Human
Format : Purified
Recrabbitmono
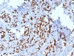
EBAG9 Antibody / RCAS1 (clone rEBAG9/7264)
Catalog No : V5262
Applications : IHC-P
Reactivity : Human
Format : Purified
Recmousemono
TRPS1 Antibody / Tricho-rhino-phalangeal syndrome type I (clone TRPS1/7912R)
Catalog No : V5263
Applications : IHC-P
Reactivity : Human
Format : Purified
Recrabbitmono
TRPS1 Antibody / Tricho-rhino-phalangeal syndrome type I (clone TRPS1/8131R)
Catalog No : V5264
Applications : IHC-P
Reactivity : Human
Format : Purified
Recrabbitmono
TRPS1 Antibody / Tricho-rhino-phalangeal syndrome type I (clone TRPS1/8008R)
Catalog No : V5265
Applications : IHC-P
Reactivity : Human
Format : Purified
Recrabbitmono
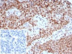
c-Myc Antibody (clone MYC/7683R)
Catalog No : V5269
Applications : IHC-P
Reactivity : Human
Format : Purified
Recrabbitmono