• Tel: 858.663.9055
  • SeparatorEmail: info@nsjbio.com
  • Tel: 858.663.9055
  • Email: info@nsjbio.com
Home >> Antibodies >> Tricho-rhino-phalangeal syndrome type I Antibody / TRPS1

Tricho-rhino-phalangeal syndrome type I Antibody / TRPS1 [clone TRPS1/7912R] (V5263)

  Catalog No Formulation Size Price (USD)  
Image V5263-100UG 0.2 mg/ml in 1X PBS with 0.1 mg/ml BSA (US sourced), 0.05% sodium azide 100 ug 539
Image
V5263-20UG 0.2 mg/ml in 1X PBS with 0.1 mg/ml BSA (US sourced), 0.05% sodium azide 20 ug 249
Image
V5263SAF-100UG 1 mg/ml in 1X PBS; BSA free, sodium azide free 100 ug 539
Microvalidated Recrabbitmono
Bulk quote request
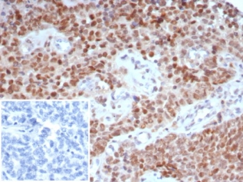
IHC staining of FFPE human ovary tissue with TRPS1 antibody (clone TRPS1/7912R). Inset: PBS used in place of primary Ab (secondary Ab negative control). HIER: boil tissue sections in pH 9 10mM Tris with 1mM EDTA for 20 min and allow to cool before testing.
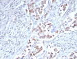
IHC staining of FFPE human breast carcinoma tissue with TRPS1 antibody (clone TRPS1/7912R). Strong nuclear staining using TRPS1/7912R mAb at 2ug/ml. HIER: boil tissue sections in pH 9 10mM Tris with 1mM EDTA for 20 min and allow to cool before testing.
Availability 1-3 business days
Species Reactivity Human
Format Purified
Clonality Recombinant Rabbit Monoclonal
Isotype Rabbit IgG, kappa
Clone Name TRPS1/7912R
Purity Protein A/G affinity
UniProt Q9UHF7
Localization Nucleus
Applications Immunohistochemistry (FFPE) : 1-2ug/ml for 30 min at RT
Limitations This Tricho-rhino-phalangeal syndrome type I antibody is available for research use only.
Review this product on BioCompare and get a $20 Amazon gift card

Related Products

Description

Transcriptional repressor. Binds specifically to GATA sequences and represses expression of GATA-regulated genes at selected sites and stages in vertebrate development. Regulates chondrocyte proliferation and differentiation. Executes multiple functions in proliferating chondrocytes, expanding the region of distal chondrocytes, activating proliferation in columnar cells and supporting the differentiation of columnar into hypertrophic chondrocytes. Ubiquitously expressed in the adult. Found in fetal brain, lung, kidney, liver, spleen and thymus. More highly expressed in androgen-dependent than in androgen-independent prostate cancer cells.

Application Notes

Optimal dilution of the Tricho-rhino-phalangeal syndrome type I antibody should be determined by the researcher.

Immunogen

A recombinant partial protein sequence (within amino acids 900-1100) from the human protein was used as the immunogen for the Tricho-rhino-phalangeal syndrome type I antibody.

Storage

Aliquot the Tricho-rhino-phalangeal syndrome type I antibody and store frozen at -20oC or colder. Avoid repeated freeze-thaw cycles.

Cross
Bulk Quote Request Form
Name*:
Organization*:
Email*:
Phone Number*:
Catalog No.*:
Comments and Specifics(amount, formulation, etc.)*:
Validation code: Captchapackage Image


Can't read the image? click here to refresh.
    *required field

Your bulk quote request has been submitted successfully!

Please contact us if you have any questions.