• Tel: 858.663.9055
  • SeparatorEmail: info@nsjbio.com
  • Tel: 858.663.9055
  • Email: info@nsjbio.com
Home >> Antibodies >> TRPS1 Antibody / Tricho-rhino-phalangeal syndrome type I

TRPS1 Antibody / Tricho-rhino-phalangeal syndrome type I [clone TRPS1/8131R] (V5264)

  Catalog No Formulation Size Price (USD)  
Image V5264-100UG 0.2 mg/ml in 1X PBS with 0.1 mg/ml BSA (US sourced), 0.05% sodium azide 100 ug 539
Image
V5264-20UG 0.2 mg/ml in 1X PBS with 0.1 mg/ml BSA (US sourced), 0.05% sodium azide 20 ug 249
Image
V5264SAF-100UG 1 mg/ml in 1X PBS; BSA free, sodium azide free 100 ug 539
Microvalidated Recrabbitmono
Bulk quote request
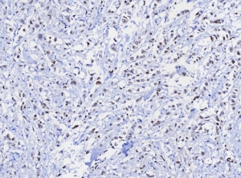
IHC staining of FFPE human uterus tissue with TRPS1 antibody; Strong nuclear staining observed with TRPS1/8131R at 2ug/ml. HIER: boil tissue sections in pH 9 10mM Tris with 1mM EDTA for 20 min and allow to cool before testing.
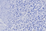
Negative control: IHC testing of FFPE human brain tissue with TRPS1 antibody (clone TRPS1/8131R) at 2ug/ml. HIER: boil tissue sections in pH 9 10mM Tris with 1mM EDTA for 20 min and allow to cool before testing.
Availability 1-3 business days
Species Reactivity Human
Format Purified
Clonality Recombinant Rabbit Monoclonal
Isotype Rabbit IgG, kappa
Clone Name TRPS1/8131R
Purity Protein A/G affinity
UniProt Q9UHF7
Localization Nucleus
Applications Immunohistochemistry (FFPE) : 1-2ug/ml for 30 min at RT
Limitations This TRPS1 antibody is available for research use only.
Review this product on BioCompare and get a $20 Amazon gift card

Related Products

Description

TRPS1 is a transcriptional repressor that binds specifically to GATA sequences and represses expression of GATA-regulated genes at selected sites and stages in vertebrate development.

Application Notes

Optimal dilution of the TRPS1 antibody should be determined by the researcher.

Immunogen

A recombinant partial protein sequence (within amino acids 900-1100) from the human protein was used as the immunogen for the TRPS1 antibody.

Storage

Aliquot the TRPS1 antibody and store frozen at -20oC or colder. Avoid repeated freeze-thaw cycles.

Cross
Bulk Quote Request Form
Name*:
Organization*:
Email*:
Phone Number*:
Catalog No.*:
Comments and Specifics(amount, formulation, etc.)*:
Validation code: Captchapackage Image


Can't read the image? click here to refresh.
    *required field

Your bulk quote request has been submitted successfully!

Please contact us if you have any questions.