• Tel: 858.663.9055
  • separatorEmail: info@nsjbio.com
  • Tel: 858.663.9055
  • Email: info@nsjbio.com
banner

Antibodies

Home >> Antibodies

Antibody Listing

Found all antibodies, displaying 1551 to 1560

Carboxypeptidase B Antibody / CPB1

Catalog No : F54360
Applications : FACS, WB, IHC-P, IF
Reactivity : Human
Format : Purified

Carboxypeptidase B2 Antibody / CPB2 / TAFI

Catalog No : R32482
Applications : WB, IHC-P
Reactivity : Human
Format : Antigen affinity purified

Carboxypeptidase M Antibody / CPM

Catalog No : R32609
Applications : WB
Reactivity : Human
Format : Antigen affinity purified

CARD11 Antibody

Catalog No : R35433
Applications : WB, IHC, ELISA (peptide)
Reactivity : Human
Pred. Reactivity :Mouse, Dog
Format : Antigen affinity purified

Cardiac Fatty Acid Binding Protein Antibody / FABP3 (clone FABP3/8535R)

Catalog No : V4874
Applications : IHC-P
Reactivity : Human
Format : Purified

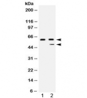
Cardiac Phospholamban Antibody / PLN / PLB

Catalog No : RQ7935
Applications : WB, Direct ELISA
Reactivity : Human, Mouse, Rat
Format : Antigen affinity purified

Cardiac Troponin T Antibody / CTnT / TNNT2

Catalog No : RQ4616
Applications : WB, Direct ELISA
Reactivity : Mouse, Rat
Format : Antigen affinity purified

CARM1 Antibody / PRMT4 (clone CARM1/7426)

Catalog No : V4583
Applications : IHC-P
Reactivity : Human
Format : Purified

CASC3 Antibody

Catalog No : F40083
Applications : IHC, WB, ELISA
Reactivity : Human
Pred. Reactivity :Mouse, Rat, Bovine, Zebrafish
Format : Antigen affinity purified

Casein kinase 2 beta Antibody

Catalog No : R36427
Applications : WB, ELISA (peptide)
Reactivity : Human, Mouse, Rat, Pig
Pred. Reactivity :Dog
Format : Antigen affinity purified