• Tel: 858.663.9055
  • SeparatorEmail: info@nsjbio.com
  • Tel: 858.663.9055
  • Email: info@nsjbio.com
Home >> Antibodies >> Carboxypeptidase B2 Antibody / CPB2 / TAFI

Carboxypeptidase B2 Antibody / CPB2 / TAFI (R32482)

  Catalog No Formulation Size Price (USD)  
Image R32482 0.5mg/ml if reconstituted with 0.2ml sterile DI water 100 ug 439
Bulk quote request
Western blot testing of 1) human placenta and 2) HepG2 lysate with Carboxypeptidase B2 antibody at 0.5ug/ml. Predicted molecular weight: ~48 kDa but routinely observed at 50-60 kDa.
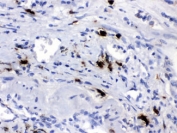
IHC testing of FFPE human lung cancer tissue with Carboxypeptidase B2 antibody at 1ug/ml. HIER: steam in pH6 citrate buffer and allow to cool prior to staining.
Availability 1-3 business days
Species Reactivity Human
Format Antigen affinity purified
Clonality Polyclonal (rabbit origin)
Isotype Rabbit IgG
Purity Antigen affinity
Buffer Lyophilized from 1X PBS with 2.5% BSA and 0.025% sodium azide
UniProt Q96IY4
Localization Cytoplasmic
Applications Western Blot : 0.5-1ug/ml
IHC (FFPE) : 1-2ug/ml
Limitations This Carboxypeptidase B2 antibody is available for research use only.
Review this product on BioCompare and get a $20 Amazon gift card

Related Products

Description

Carboxypeptidase B2 (CPB2), also known as carboxypeptidase U (CPU), plasma carboxypeptidase B (pCPB) or thrombin-activatable fibrinolysis inhibitor (TAFI), is an enzyme that, in humans, is encoded by the gene CPB2. CPB2 is synthesized by the liver and circulates in the plasma as a plasminogen-bound zymogen. When it is activated by proteolysis at residue Arg92 by the thrombin/thrombomodulin complex, CPB2 exhibits carboxypeptidase activity. Activated CPB2 reduces fibrinolysis by removing the fibrin C-terminal residues that are important for the binding and activation of plasminogen.

Application Notes

Optimal dilution of the Carboxypeptidase B2 antibody should be determined by the researcher.

Immunogen

Amino acids K166-D388 from the human protein were used as the immunogen for the Carboxypeptidase B2 antibody.

Storage

Prior to reconstitution, store at 4oC. After reconstitution, the Carboxypeptidase B2 antibody can be stored for up to one month at 4oC. For long-term, aliquot and store at -20oC. Avoid repeated freezing and thawing.

Cross
Bulk Quote Request Form
Name*:
Organization*:
Email*:
Phone Number*:
Catalog No.*:
Comments and Specifics(amount, formulation, etc.)*:
Validation code: Captchapackage Image


Can't read the image? click here to refresh.
    *required field

Your bulk quote request has been submitted successfully!

Please contact us if you have any questions.