• Tel: 858.663.9055
  • SeparatorEmail: info@nsjbio.com
  • Tel: 858.663.9055
  • Email: info@nsjbio.com
Home >> Antibodies >> Cardiac Troponin T Antibody / CTnT / TNNT2

Cardiac Troponin T Antibody / CTnT / TNNT2 (RQ4616)

  Catalog No Formulation Size Price (USD)  
Image RQ4616 0.5mg/ml if reconstituted with 0.2ml sterile DI water 100 ug 439
Bulk quote request
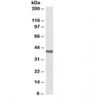
Western blot testing of multiple lots of rat heart lysate (1 & 2) and mouse heart lysate (3 & 4) with Cardiac Troponin T antibody at 0.5ug/ml. Expected molecular weight: 36-42 kDa.
Availability 1-3 business days
Species Reactivity Mouse, Rat
Format Antigen affinity purified
Clonality Polyclonal (rabbit origin)
Isotype Rabbit IgG
Purity Antigen affinity purified
Buffer Lyophilized from 1X PBS with 2% Trehalose and 0.025% sodium azide
UniProt P45379
Applications Western Blot : 0.5-1ug/ml
Direct ELISA : 0.1-0.5ug/ml
Review this product on BioCompare and get a $20 Amazon gift card

Related Products

Description

Cardiac muscle troponin T (cTnT), is a protein which in humans is encoded by the TNNT2 gene. It is mapped to 1q32.1. The protein encoded by this gene is the tropomyosin-binding subunit of the troponin complex, which is located on the thin filament of striated muscles and regulates muscle contraction in response to alterations in intracellular calcium ion concentration. Mutations in this gene have been associated with familial hypertrophic cardiomyopathy as well as with dilated cardiomyopathy. Transcripts for this gene undergo alternative splicing that results in many tissue-specific isoforms, however, the full-length nature of some of these variants has not yet been determined.

Application Notes

Optimal dilution of the Cardiac Troponin T antibody should be determined by the researcher.

Immunogen

Amino acids K88-K298 from the human protein were used as the immunogen for the Cardiac Troponin T antibody.

Storage

After reconstitution, the Cardiac Troponin T antibody can be stored for up to one month at 4oC. For long-term, aliquot and store at -20oC. Avoid repeated freezing and thawing.

Cross
Bulk Quote Request Form
Name*:
Organization*:
Email*:
Phone Number*:
Catalog No.*:
Comments and Specifics(amount, formulation, etc.)*:
Validation code: Captchapackage Image


Can't read the image? click here to refresh.
    *required field

Your bulk quote request has been submitted successfully!

Please contact us if you have any questions.