• Tel: 858.663.9055
  • SeparatorEmail: info@nsjbio.com
  • Tel: 858.663.9055
  • Email: info@nsjbio.com
Home >> Antibodies >> Zebrafish Sgce Antibody / Epsilon-sarcoglycan

Zebrafish Sgce Antibody / Epsilon-sarcoglycan (RZ1094)

  Catalog No Formulation Size Price (USD)  
Image RZ1094 0.5mg/ml if reconstituted with 0.2ml sterile DI water 100 ug 539
Bulk quote request
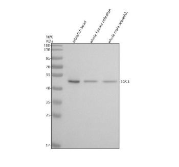
Western blot analysis of Sgce protein using Zebrafish Sgce antibody and 1) zebrafish head, 2) whole female zebrafish and 3) whole male zebrafish tissue lysate. Predicted molecular weight ~50 kDa.
Availability 2-3 weeks
Species Reactivity Zebrafish
Format Antigen affinity purified
Clonality Polyclonal (rabbit origin)
Isotype Rabbit Ig
Purity Antigen affinity chromatography
Buffer Lyophilized from 1X PBS with 2% Trehalose
UniProt Q6DHH1
Applications Western Blot : 0.5-1 ug/ml
Limitations This Zebrafish Sgce antibody is available for research use only.
Review this product on BioCompare and get a $20 Amazon gift card

Related Products

Description

Predicted to enable calcium ion binding activity. Predicted to be located in several cellular components, including Golgi apparatus; dendrite; and sarcolemma. Predicted to be part of sarcoglycan complex. Is expressed in central nervous system; retina; retinal ganglion cell layer; and retinal inner nuclear layer. Human ortholog(s) of this gene implicated in myoclonic dystonia 11. Orthologous to human SGCE (sarcoglycan epsilon).

Application Notes

Optimal dilution of the Zebrafish Sgce antibody should be determined by the researcher.

Immunogen

An E.coli-derived zebrafish Sgce recombinant protein (amino acids V14-E384) was used as the immunogen for the Zebrafish Sgce antibody.

Storage

After reconstitution, the Zebrafish Sgce antibody can be stored for up to one month at 4oC. For long-term, aliquot and store at -20oC. Avoid repeated freezing and thawing.

Cross
Bulk Quote Request Form
Name*:
Organization*:
Email*:
Phone Number*:
Catalog No.*:
Comments and Specifics(amount, formulation, etc.)*:
Validation code: Captchapackage Image


Can't read the image? click here to refresh.
    *required field

Your bulk quote request has been submitted successfully!

Please contact us if you have any questions.