• Tel: 858.663.9055
  • SeparatorEmail: info@nsjbio.com
  • Tel: 858.663.9055
  • Email: info@nsjbio.com
Home >> Antibodies >> Zebrafish Ppm1g Antibody / Protein phosphatase 1G

Zebrafish Ppm1g Antibody / Protein phosphatase 1G (RZ1277)

  Catalog No Formulation Size Price (USD)  
Image RZ1277 0.5mg/ml if reconstituted with 0.2ml sterile DI water 100 ug 539
Bulk quote request
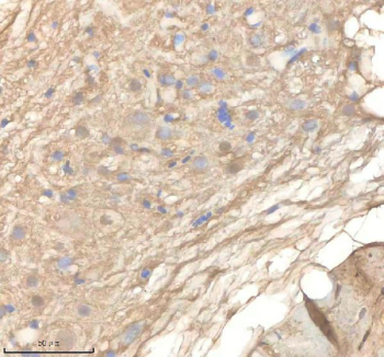
IHC staining of zebrafish Ppm1g protein using Zebrafish Ppm1g antibody, HRP-labeled secondary and DAB substrate. Ppm1g was detected in a paraffin-embedded section of zebrafish brain tissue. HIER: boil tissue sections in pH8 EDTA for 20 min and allow to cool before testing.
Western blot analysis of Ppm1g protein using Zebrafish Ppm1g antibody and 1) zebrafish embryo tissue lysates. Predicted molecular weight ~58 kDa, but commonly observed at up to ~79 kDa. (human similarity)
Availability 2-3 weeks
Species Reactivity Zebrafish
Format Antigen affinity purified
Clonality Polyclonal (rabbit origin)
Isotype Rabbit Ig
Purity Antigen affinity chromatography
Buffer Lyophilized from 1X PBS with 2% Trehalose
UniProt F1QJE5
Applications Western Blot : 0.5-1ug/ml
Immunohistochemistry (FFPE) : 2-5ug/ml
Limitations This Zebrafish Ppm1g antibody is available for research use only.
Review this product on BioCompare and get a $20 Amazon gift card

Related Products

Description

Ppm1g (Protein phosphatase 1G) is a member of the protein phosphatase 1 family, which plays a crucial role in cellular signaling, cell cycle regulation, and stress responses. This protein is involved in the dephosphorylation of target proteins, which is an essential process for regulating cellular processes such as growth, proliferation, and differentiation. Ppm1g specifically acts to remove phosphate groups from serine/threonine residues in its substrate proteins, influencing various signal transduction pathways and metabolic processes.

In zebrafish, Ppm1g is an ortholog of the human PPM1G gene. The zebrafish and human proteins show significant sequence conservation, particularly in their phosphatase domain, which is crucial for their catalytic activity. This conservation suggests that Ppm1g performs similar roles in signal transduction and cellular regulation across species, making zebrafish a valuable model for studying protein dephosphorylation, cell cycle control, and signal transduction mechanisms.

Ppm1g in zebrafish may also have isoforms, which can vary in their tissue-specific expression and functional roles. These isoforms allow for dynamic regulation of protein phosphorylation during different developmental stages, cellular responses, and physiological conditions. Isoform diversity can contribute to the fine-tuning of cell signaling pathways, especially during embryonic development and stress responses.

Zebrafish Ppm1g is expressed in several tissues, including the brain, heart, and liver, where it plays a role in cellular homeostasis and the regulation of signal transduction pathways involved in metabolism, growth, and development. Its expression is crucial for maintaining protein phosphorylation levels that ensure proper cell cycle progression and stress responses. Disruptions in Ppm1g function in zebrafish can lead to defects in cellular regulation, development, and stress tolerance, providing a useful model for studying diseases related to protein phosphorylation and cell cycle dysfunction.

Application Notes

Optimal dilution of the Zebrafish Ppm1g antibody should be determined by the researcher.

Immunogen

E. coli-derived zebrafish Ppm1g recombinant protein (amino acids E45-S456) was used as the immunogen for the Zebrafish Ppm1g antibody.

Storage

After reconstitution, the Zebrafish Ppm1g antibody can be stored for up to one month at 4oC. For long-term, aliquot and store at -20oC. Avoid repeated freezing and thawing.

Cross
Bulk Quote Request Form
Name*:
Organization*:
Email*:
Phone Number*:
Catalog No.*:
Comments and Specifics(amount, formulation, etc.)*:
Validation code: Captchapackage Image


Can't read the image? click here to refresh.
    *required field

Your bulk quote request has been submitted successfully!

Please contact us if you have any questions.