• Tel: 858.663.9055
  • SeparatorEmail: info@nsjbio.com
  • Tel: 858.663.9055
  • Email: info@nsjbio.com
Home >> Antibodies >> Zebrafish Mpeg1 Antibody / Mpeg1.1 / Macrophage-expressed gene 1

Zebrafish Mpeg1 Antibody / Mpeg1.1 / Macrophage-expressed gene 1 (RZ1240)

  Catalog No Formulation Size Price (USD)  
Image RZ1240 0.5mg/ml if reconstituted with 0.2ml sterile DI water 100 ug 539
Bulk quote request
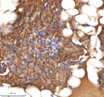
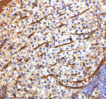
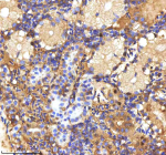
IHC staining of zebrafish Mpeg1 protein using Zebrafish Mpeg1 antibody, HRP-labeled secondary and DAB substrate. Mpeg1 was detected in a paraffin-embedded section of zebrafish testis tissue. HIER: boil tissue sections in pH8 EDTA for 20 min and allow to cool before testing.
IHC staining of zebrafish Mpeg1 protein using Zebrafish Mpeg1 antibody, HRP-labeled secondary and DAB substrate. Mpeg1 was detected in a paraffin-embedded section of zebrafish spinal cord tissue. HIER: boil tissue sections in pH8 EDTA for 20 min and allow to cool before testing.
IHC staining of zebrafish MPEG1 protein using Zebrafish MPEG1 antibody, HRP-labeled secondary and DAB substrate. MPEG1 was detected in a paraffin-embedded section of zebrafish pancreas tissue. HIER: boil tissue sections in pH8 EDTA for 20 min and allow to cool before testing.
IHC staining of zebrafish Mpeg1 protein using Zebrafish Mpeg1 antibody, HRP-labeled secondary and DAB substrate. Mpeg1 was detected in a paraffin-embedded section of zebrafish liver tissue. HIER: boil tissue sections in pH8 EDTA for 20 min and allow to cool before testing.
IHC staining of zebrafish Mpeg1 protein using Zebrafish Mpeg1 antibody, HRP-labeled secondary and DAB substrate. Mpeg1 was detected in a paraffin-embedded section of zebrafish kidney tissue. HIER: boil tissue sections in pH8 EDTA for 20 min and allow to cool before testing.
Availability 2-3 weeks
Species Reactivity Zebrafish
Format Antigen affinity purified
Clonality Polyclonal (rabbit origin)
Isotype Rabbit Ig
Purity Antigen affinity chromatography
Buffer Lyophilized from 1X PBS with 2% Trehalose
UniProt Q7SXE0
Localization Cytoplasm
Applications Immunohistochemistry (FFPE) : 2-5ug/ml
Limitations This Zebrafish Mpeg1 antibody is available for research use only.
Review this product on BioCompare and get a $20 Amazon gift card

Related Products

Description

Mpeg1.1, or macrophage expressed gene 1.1, is a membrane attack complex and perforin domain containing protein that plays a key role in the innate immune response of zebrafish. It is primarily expressed in macrophages and other phagocytic cells and functions in the recognition and destruction of pathogens.

Mpeg1.1 is part of a family of pore forming proteins that contribute to host defense by disrupting the membranes of invading microorganisms. In zebrafish, Mpeg1.1 is used as a specific marker for macrophages and is widely expressed in immune tissues during both embryonic development and adulthood. Its expression can be induced by infection, tissue injury, or immune activation.

Zebrafish Mpeg1.1 has been extensively used in transgenic reporter lines to study macrophage behavior, immune surveillance, and inflammatory responses in vivo. These models have provided important insights into the dynamics of macrophage recruitment, phagocytosis, and pathogen clearance.

Because of its evolutionary conservation and strong immune specificity, zebrafish Mpeg1.1 is a valuable tool in immunology, host pathogen interaction studies, and high throughput drug screening aimed at modulating the innate immune system.

Application Notes

Optimal dilution of the Zebrafish Mpeg1 antibody should be determined by the researcher.

Immunogen

E. coli-derived zebrafish Mpeg1 recombinant protein (amino acids Q68-S718) was used as the immunogen for the Zebrafish Mpeg1 antibody.

Storage

After reconstitution, the Zebrafish Mpeg1 antibody can be stored for up to one month at 4oC. For long-term, aliquot and store at -20oC. Avoid repeated freezing and thawing.

Cross
Bulk Quote Request Form
Name*:
Organization*:
Email*:
Phone Number*:
Catalog No.*:
Comments and Specifics(amount, formulation, etc.)*:
Validation code: Captchapackage Image


Can't read the image? click here to refresh.
    *required field

Your bulk quote request has been submitted successfully!

Please contact us if you have any questions.