• Tel: 858.663.9055
  • SeparatorEmail: info@nsjbio.com
  • Tel: 858.663.9055
  • Email: info@nsjbio.com
Home >> Antibodies >> Zebrafish Mat2a Antibody / Methionine adenosyltransferase 2 / Isoforms a & b

Zebrafish Mat2a Antibody / Methionine adenosyltransferase 2 / Isoforms a & b (RZ1065)

  Catalog No Formulation Size Price (USD)  
Image RZ1065 0.5mg/ml if reconstituted with 0.2ml sterile DI water 100 ug 539
Bulk quote request
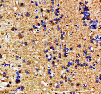
IHC staining of FFPE zebrafish brain tissue with Zebrafish Mat2a antibody. HIER: boil tissue sections in pH8 EDTA for 20 min and allow to cool before testing.
Western blot analysis of Mat2aa/b protein using Zebrafish Mat2a antibody and 1) zebrafish head, 2) whole female zebrafish, 3) whole male zebrafish and 4) zebrafish embryo tissue lysate. Expected molecular weight ~44 kDa.
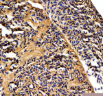
IHC staining of FFPE zebrafish heart tissue with Zebrafish Mat2a antibody. HIER: boil tissue sections in pH8 EDTA for 20 min and allow to cool before testing.
Availability 2-3 weeks
Species Reactivity Zebrafish
Format Antigen affinity purified
Clonality Polyclonal (rabbit origin)
Isotype Rabbit Ig
Purity Antigen affinity chromatography
Buffer Lyophilized from 1X PBS with 2% Trehalose
UniProt F1QYU7 , A0A8M6YZ65
Localization Cytoplasm
Applications Western Blot : 0.5-1 ug/ml
Immunohistochemistry (FFPE) : 2-5 ug/ml
Limitations This Zebrafish Mat2a antibody is available for research use only.
Review this product on BioCompare and get a $20 Amazon gift card

Related Products

Description

The protein encoded by this gene catalyzes the production of S-adenosylmethionine (AdoMet) from methionine and ATP. AdoMet is the key methyl donor in cellular processes.

Application Notes

Optimal dilution of the Zebrafish Mat2a antibody should be determined by the researcher.

Immunogen

An E.coli-derived zebrafish Mat2aa/b recombinant protein (amino acids M1-A229) was used as the immunogen for the Zebrafish Mat2a antibody. This antibody will detect the a and b isoforms.

Storage

After reconstitution, the Zebrafish Mat2a antibody can be stored for up to one month at 4oC. For long-term, aliquot and store at -20oC. Avoid repeated freezing and thawing.

Cross
Bulk Quote Request Form
Name*:
Organization*:
Email*:
Phone Number*:
Catalog No.*:
Comments and Specifics(amount, formulation, etc.)*:
Validation code: Captchapackage Image


Can't read the image? click here to refresh.
    *required field

Your bulk quote request has been submitted successfully!

Please contact us if you have any questions.