• Tel: 858.663.9055
  • SeparatorEmail: info@nsjbio.com
  • Tel: 858.663.9055
  • Email: info@nsjbio.com
Home >> Antibodies >> Vinculin Antibody

Vinculin Antibody [clone VCL/8533R] (V4104)

  Catalog No Formulation Size Price (USD)  
Image V4104-100UG 0.2 mg/ml in 1X PBS with 0.1 mg/ml BSA (US sourced), 0.05% sodium azide 100 ug 539
Image
V4104-20UG 0.2 mg/ml in 1X PBS with 0.1 mg/ml BSA (US sourced), 0.05% sodium azide 20 ug 249
Image
V4104SAF-100UG 1 mg/ml in 1X PBS; BSA free, sodium azide free 100 ug 539
Microvalidated Recrabbitmono
Bulk quote request
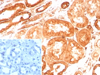
IHC staining of FFPE human kidney tissue with Vinculin antibody (clone VCL/8533R) at 2ug/ml. Inset: PBS used in place of primary Ab (secondary Ab negative control). HIER: boil tissue sections in pH 9 10mM Tris with 1mM EDTA for 20 min and allow to cool before testing.
SDS-PAGE analysis of purified, BSA-free Vinculin antibody (clone VCL/8533R) as confirmation of integrity and purity.
Availability 1-3 business days
Species Reactivity Human
Format Purified
Clonality Recombinant Rabbit Monoclonal
Isotype Rabbit IgG, kappa
Clone Name VCL/8533R
Purity Protein A/G affinity
UniProt P18206
Localization Cytoplasm
Applications Western Blot : 1-2ug/ml
Immunohistochemistry (FFPE) : 1-2ug/ml for 30 minutes at RT
Limitations This Vinculin antibody is available for research use only.
Review this product on BioCompare and get a $20 Amazon gift card

Related Products

Description

Focal adhesions are identified as areas within the plasma membrane of tissue culture cells that adhere tightly to the underlying substrate. In vivo, these regions are involved in the adhesion of cells to the extracellular matrix. Paxillin and vinculin are cytoskeletal, focal adhesion proteins that are components of a protein complex which links the Actin network to the plasma membrane. Vinculin binding sites have been identified on other cytoskeletal proteins, including Talin and Alpha-Actinin. In addition, vinculin, Talin and Alpha-Actinin each contain Actin binding sites. Expression of vinculin and Talin have been shown to be affected by the level of Actin expression. Alpha-Actinin has been shown to link Actin to integrins in the plasma membrane through interactions with the vinculin and Talin complex or by a direct interaction with integrin.

Application Notes

Optimal dilution of the Vinculin antibody should be determined by the researcher.

Immunogen

A recombinant partial protein (within amino acids 174-322) from the human protein was used as the immunogen for the Vinculin antibody.

Storage

Aliquot the Vinculin antibody and store frozen at -20oC or colder. Avoid repeated freeze-thaw cycles.

Cross
Bulk Quote Request Form
Name*:
Organization*:
Email*:
Phone Number*:
Catalog No.*:
Comments and Specifics(amount, formulation, etc.)*:
Validation code: Captchapackage Image


Can't read the image? click here to refresh.
    *required field

Your bulk quote request has been submitted successfully!

Please contact us if you have any questions.