• Tel: 858.663.9055
  • SeparatorEmail: info@nsjbio.com
  • Tel: 858.663.9055
  • Email: info@nsjbio.com
Home >> Antibodies >> UBC9 Antibody / UBE2I

UBC9 Antibody / UBE2I (RQ5606)

  Catalog No Formulation Size Price (USD)  
Image RQ5606 0.5mg/ml if reconstituted with 0.2ml sterile DI water 100 ug 439
Bulk quote request
IHC staining of FFPE human tonsil with UBC9 antibody. HIER: boil tissue sections in pH6, 10mM citrate buffer, for 20 min and allow to cool before testing.
IHC staining of FFPE human breast cancer with UBC9 antibody. HIER: boil tissue sections in pH6, 10mM citrate buffer, for 20 min and allow to cool before testing.
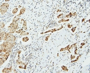
IHC staining of FFPE human colon cancer with UBC9 antibody. HIER: boil tissue sections in pH6, 10mM citrate buffer, for 20 min and allow to cool before testing.
IHC staining of FFPE human colon cancer with UBC9 antibody. HIER: boil tissue sections in pH6, 10mM citrate buffer, for 20 min and allow to cool before testing.
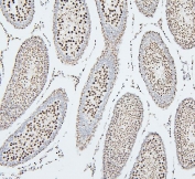
IHC staining of FFPE mouse testis with UBC9 antibody. HIER: boil tissue sections in pH6, 10mM citrate buffer, for 20 min and allow to cool before testing.
IHC staining of FFPE rat testis with UBC9 antibody. HIER: boil tissue sections in pH6, 10mM citrate buffer, for 20 min and allow to cool before testing.
IHC staining of FFPE rat testis with UBC9 antibody. HIER: boil tissue sections in pH6, 10mM citrate buffer, for 20 min and allow to cool before testing.
Western blot testing of human 1) K562, 2) A549, 3) HepG2, 4) PC-3, 5) HEK293, 6) rat brain and 7) mouse Ana-1 cells with UBC9 antibody. Predicted molecular weight: ~17 kDa.
Flow cytometry testing of human A431 cells with UBC9 antibody at 1ug/million cells (blocked with goat sera); Red=cells alone, Green=isotype control, Blue= UBC9 antibody.
Western blot testing of 1) human placenta, 2) human K562, 3) human HepG2 and 4) rat kidney tissue lysate with UBC9 antibody. Predicted molecular weight: ~17 kDa.
Immunofluorescent staining of FFPE human A431 cells with UBC9 antibody (green) and DAPI nuclear stain (blue). HIER: steam section in pH6 citrate buffer for 20 min.
Availability 1-3 business days
Species Reactivity Human, Mouse, Rat
Format Antigen affinity purified
Clonality Polyclonal (rabbit origin)
Isotype Rabbit IgG
Purity Affinity purified
Buffer Lyophilized from 1X PBS with 2% Trehalose and 0.025% sodium azide
UniProt P63279
Localization Nuclear
Applications Western Blot : 0.25-0.5ug/ml
Immunohistochemistry (FFPE) : 1-2ug/ml
Immunofluorescence : 5ug/ml
Flow Cytometry : 1-3ug/million cells
Direct ELISA : 0.1-0.5ug/ml
Limitations This UBC9 antibody is available for research use only.
Review this product on BioCompare and get a $20 Amazon gift card

Related Products

  • Applications : WB, ELISA
    Reactivity : Human, Mouse
  • Applications : WB
    Reactivity : Human, Mouse, Rat
  • Applications : WB, IHC, ELISA
    Reactivity : Human
    Pred. Reactivity : Chicken, Mouse, Rat, Xenopus, Zebrafish
  • Applications : WB, IHC, ICC, ELISA (peptide)
    Reactivity : Human, Mouse, Rat
    Pred. Reactivity : Dog
  • Applications : WB, IHC, ICC, ELISA (peptide)
    Reactivity : Human, Mouse, Rat
    Pred. Reactivity : Dog
  • Applications : WB, IHC-P
    Reactivity : Human, Mouse, Rat
  • Applications : WB
    Reactivity : Zebrafish

Description

SUMO-conjugating enzyme UBC9 (UBE2I), also called UBC9, is a protein that in humans is encoded by the UBE2I gene. This gene encodes a member of the E2 ubiquitin-conjugating enzyme family. It is mapped to 16p13.3. UBC9 could fully complement the mutant phenotype of a yeast ubc9 mutant strain. This gene may play a similar role via interaction with WT1, which is able to impose a block to cell cycle progression in eukaryotic cells. What's more, it could support the growth of yeast ubc9 temperature-sensitive mutants at nonpermissive temperatures, indicating that the gene is a functional homolog of yeast ubc9. UBC9 is specifically associated with FHIT, such as FHIT may be involved in cell cycle control through its interaction with UBC9.

Application Notes

Optimal dilution of the UBC9 antibody should be determined by the researcher.

Immunogen

A human recombinant protein (amino acids K65-K146 ) was used as the immunogen for the UBC9 antibody.

Storage

After reconstitution, the UBC9 antibody can be stored for up to one month at 4oC. For long-term, aliquot and store at -20oC. Avoid repeated freezing and thawing.

Cross
Bulk Quote Request Form
Name*:
Organization*:
Email*:
Phone Number*:
Catalog No.*:
Comments and Specifics(amount, formulation, etc.)*:
Validation code: Captchapackage Image


Can't read the image? click here to refresh.
    *required field

Your bulk quote request has been submitted successfully!

Please contact us if you have any questions.