• Tel: 858.663.9055
  • SeparatorEmail: info@nsjbio.com
  • Tel: 858.663.9055
  • Email: info@nsjbio.com
Home >> Antibodies >> Tyrosyl-DNA phosphodiesterase 2 Antibody / TDP2 / ETS1 associated protein II

Tyrosyl-DNA phosphodiesterase 2 Antibody / TDP2 / ETS1 associated protein II (F54585)

  Catalog No Formulation Size Price (USD)  
Image F54585-0.4ML In 1X PBS, pH 7.4, with 0.09% sodium azide 0.4 ml 429
Image
F54585-0.08ML In 1X PBS, pH 7.4, with 0.09% sodium azide 0.08 ml 199
Bulk quote request
Western blot testing of human A549 cell lysate with Tyrosyl-DNA phosphodiesterase 2 antibody. Expected molecular weight: 41-51 kDa.
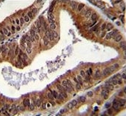
IHC testing of FFPE human prostate carcinoma tissue with Tyrosyl-DNA phosphodiesterase 2 antibody. HIER: steam section in pH6 citrate buffer for 20 min and allow to cool prior to staining.
Immunofluorescent staining of human A549 cells with Tyrosyl-DNA phosphodiesterase 2 antibody (green), DAPI nuclear stain (blue) and anti-Actin (red).
Flow cytometry testing of human A549 cells with Tyrosyl-DNA phosphodiesterase 2 antibody; Blue=isotype control, Green= Tyrosyl-DNA phosphodiesterase 2 antibody.
Availability 1-3 business days
Species Reactivity Human
Format Purified
Clonality Polyclonal (rabbit origin)
Isotype Rabbit Ig
Purity Antigen affinity purified
UniProt O95551
Localization Nuclear, cytoplasmic
Applications Flow Cytometry : 1:25 (1x10e6 cells)
Immunofluorescence : 1:25
Immunohistochemistry (FFPE) : 1:25
Western Blot : 1:500-1:2000
Limitations This Tyrosyl-DNA phosphodiesterase 2 antibody is available for research use only.
Review this product on BioCompare and get a $20 Amazon gift card

Related Products

Description

This gene encodes a member of a superfamily of divalent cation-dependent phosphodiesterases. The encoded protein associates with CD40, tumor necrosis factor (TNF) receptor-75 and TNF receptor associated factors (TRAFs), and inhibits nuclear factor-kappa-B activation. This protein has sequence and structural similarities with APE1 endonuclease, which is involved in both DNA repair and the activation of transcription factors.

Application Notes

The stated application concentrations are suggested starting points. Titration of the Tyrosyl-DNA phosphodiesterase 2 antibody may be required due to differences in protocols and secondary/substrate sensitivity.

Immunogen

A portion of amino acids 246-272 from the human protein was used as the immunogen for the Tyrosyl-DNA phosphodiesterase 2 antibody.

Storage

Aliquot the Tyrosyl-DNA phosphodiesterase 2 antibody and store frozen at -20oC or colder. Avoid repeated freeze-thaw cycles.

Cross
Bulk Quote Request Form
Name*:
Organization*:
Email*:
Phone Number*:
Catalog No.*:
Comments and Specifics(amount, formulation, etc.)*:
Validation code: Captchapackage Image


Can't read the image? click here to refresh.
    *required field

Your bulk quote request has been submitted successfully!

Please contact us if you have any questions.