• Tel: 858.663.9055
  • SeparatorEmail: info@nsjbio.com
  • Tel: 858.663.9055
  • Email: info@nsjbio.com
Home >> Antibodies >> Tropomyosin 2 Antibody / TPM2 / Tropomyosin beta

Tropomyosin 2 Antibody / TPM2 / Tropomyosin beta (RQ7438)

  Catalog No Formulation Size Price (USD)  
Image RQ7438 0.5mg/ml if reconstituted with 0.2ml sterile DI water 100 ug 439
Bulk quote request
Immunofluorescent staining of FFPE human placental tissue with Tropomyosin 2 antibody (red) and DAPI nuclear stain (blue). HIER: steam section in pH6 citrate buffer for 20 min.
IHC staining of FFPE human spleen tissue with Tropomyosin 2 antibody. HIER: boil tissue sections in pH8 EDTA for 20 min and allow to cool before testing.
IHC staining of FFPE human colorectal adenocarcinoma tissue with Tropomyosin 2 antibody. HIER: boil tissue sections in pH8 EDTA for 20 min and allow to cool before testing.
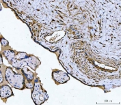
IHC staining of FFPE human placental tissue with Tropomyosin 2 antibody. HIER: boil tissue sections in pH8 EDTA for 20 min and allow to cool before testing.
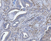
IHC staining of FFPE human lung adenocarcinoma tissue with Tropomyosin 2 antibody. HIER: boil tissue sections in pH8 EDTA for 20 min and allow to cool before testing.
Western blot testing of 1) human HeLa, 2) rat H9C2(2-1) and 3) mouse skeletal muscle tissue lysate with Tropomyosin 2 antibody. Expected molecular weight: 33-37 kDa.
Flow cytometry testing of human SiHa cells with Tropomyosin 2 antibody at 1ug/million cells (blocked with goat sera); Red=cells alone, Green=isotype control, Blue= Tropomyosin 2 antibody.
Flow cytometry testing of mouse ANA-1 cells with Tropomyosin 2 antibody at 1ug/million cells (blocked with goat sera); Red=cells alone, Green=isotype control, Blue= Tropomyosin 2 antibody.
Flow cytometry testing of rat RH35 cells with Tropomyosin 2 antibody at 1ug/million cells (blocked with goat sera); Red=cells alone, Green=isotype control, Blue= Tropomyosin 2 antibody.
Availability 1-3 business days
Species Reactivity Human, Mouse, Rat
Format Antigen affinity purified
Clonality Polyclonal (rabbit origin)
Isotype Rabbit IgG
Purity Antigen affinity purified
Buffer Lyophilized from 1X PBS with 2% Trehalose
UniProt P07951
Localization Cytoplasmic
Applications Western Blot : 0.5-1ug/ml
Immunohistochemistry (FFPE) : 2-5ug/ml
Flow Cytometry : 1-3ug/million cells
Immunofluorescence : 2-5ug/ml
Limitations This Tropomyosin 2 antibody is available for research use only.
Review this product on BioCompare and get a $20 Amazon gift card

Description

Beta-Tropomyosin, also known as tropomyosin beta chain is a protein that in humans is encoded by the TPM2 gene. This gene encodes beta-tropomyosin, a member of the actin filament binding protein family, and mainly expressed in slow, type 1 muscle fibers. Mutations in this gene can alter the expression of other sarcomeric tropomyosin proteins, and cause cap disease, nemaline myopathy and distal arthrogryposis syndromes. Alternatively spliced transcript variants encoding different isoforms have been found for this gene.

Application Notes

Optimal dilution of the Tropomyosin 2 antibody should be determined by the researcher.

Immunogen

Amino acids KQAEDRCKQLEEEQQALQK from the human protein were used as the immunogen for the Tropomyosin 2 antibody.

Storage

After reconstitution, the Tropomyosin 2 antibody can be stored for up to one month at 4oC. For long-term, aliquot and store at -20oC. Avoid repeated freezing and thawing.

Cross
Bulk Quote Request Form
Name*:
Organization*:
Email*:
Phone Number*:
Catalog No.*:
Comments and Specifics(amount, formulation, etc.)*:
Validation code: Captchapackage Image


Can't read the image? click here to refresh.
    *required field

Your bulk quote request has been submitted successfully!

Please contact us if you have any questions.