• Tel: 858.663.9055
  • SeparatorEmail: info@nsjbio.com
  • Tel: 858.663.9055
  • Email: info@nsjbio.com
Home >> Antibodies >> TRAM1L1 Antibody / Translocating chain-associated membrane protein 1-like 1

TRAM1L1 Antibody / Translocating chain-associated membrane protein 1-like 1 (RQ7503)

  Catalog No Formulation Size Price (USD)  
Image RQ7503 0.5mg/ml if reconstituted with 0.2ml sterile DI water 100 ug 439
Bulk quote request
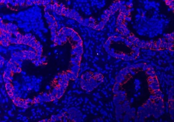
Immunofluorescent staining of FFPE human colorectal adenocarcinoma tissue with TRAM1L1 antibody (red) and DAPI nuclear stain (blue). HIER: steam section in pH8 EDTA buffer for 20 min.
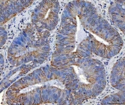
IHC staining of FFPE human colorectal adenocarcinoma tissue with TRAM1L1 antibody. HIER: boil tissue sections in pH8 EDTA for 20 min and allow to cool before testing.
IHC staining of FFPE human ovarian cancer tissue with TRAM1L1 antibody. HIER: boil tissue sections in pH8 EDTA for 20 min and allow to cool before testing.
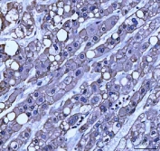
IHC staining of FFPE human liver cancer tissue with TRAM1L1 antibody. HIER: boil tissue sections in pH8 EDTA for 20 min and allow to cool before testing.
Western blot testing of human 1) T-47D and 2) U-2 OS cell lysate with TRAM1L1 antibody. Predicted molecular weight ~42 kDa.
Flow cytometry testing of human HEL cells with TRAM1L1 antibody at 1ug/million cells (blocked with goat sera); Red=cells alone, Green=isotype control, Blue= TRAM1L1 antibody.
Availability 1-3 business days
Species Reactivity Human
Format Antigen affinity purified
Clonality Polyclonal (rabbit origin)
Isotype Rabbit IgG
Purity Antigen affinity purified
Buffer Lyophilized from 1X PBS with 2% Trehalose
UniProt Q8N609
Localization Cytoplasmic (ER)
Applications Western Blot : 0.5-1ug/ml
Immunohistochemistry (FFPE) : 2-5ug/ml
Flow Cytometry : 1-3ug/million cells
Limitations This TRAM1L1 antibody is available for research use only.
Review this product on BioCompare and get a $20 Amazon gift card

Description

Predicted to be involved in protein insertion into ER membrane. Predicted to be integral component of endoplasmic reticulum membrane.

Application Notes

Optimal dilution of the TRAM1L1 antibody should be determined by the researcher.

Immunogen

Amino acids LQRWVEDSNIQASCMKKK from the human protein were used as the immunogen for the TRAM1L1 antibody.

Storage

After reconstitution, the TRAM1L1 antibody can be stored for up to one month at 4oC. For long-term, aliquot and store at -20oC. Avoid repeated freezing and thawing.

Cross
Bulk Quote Request Form
Name*:
Organization*:
Email*:
Phone Number*:
Catalog No.*:
Comments and Specifics(amount, formulation, etc.)*:
Validation code: Captchapackage Image


Can't read the image? click here to refresh.
    *required field

Your bulk quote request has been submitted successfully!

Please contact us if you have any questions.