• Tel: 858.663.9055
  • SeparatorEmail: info@nsjbio.com
  • Tel: 858.663.9055
  • Email: info@nsjbio.com
Home >> Antibodies >> TOM1L1 Antibody / TOM1-like protein 1

TOM1L1 Antibody / TOM1-like protein 1 (RQ7577)

  Catalog No Formulation Size Price (USD)  
Image RQ7577 0.5mg/ml if reconstituted with 0.2ml sterile DI water 100 ug 439
Bulk quote request
Immunofluorescent staining of FFPE human ovarian cancer tissue with TOM1L1 antibody (red) and DAPI nuclear stain (blue). HIER: steam section in pH8 EDTA buffer for 20 min.
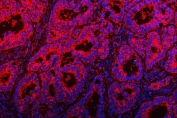
Immunofluorescent staining of FFPE human rectal cancer tissue with TOM1L1 antibody (red) and DAPI nuclear stain (blue). HIER: steam section in pH8 EDTA buffer for 20 min.
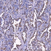
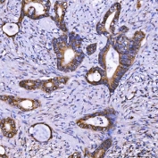
IHC staining of FFPE human liver cancer tissue with TOM1L1 antibody. HIER: boil tissue sections in pH8 EDTA for 20 min and allow to cool before testing.
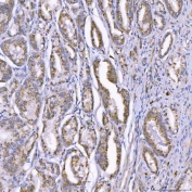
IHC staining of FFPE human colon cancer tissue with TOM1L1 antibody. HIER: boil tissue sections in pH8 EDTA for 20 min and allow to cool before testing.
IHC staining of FFPE human prostate adenocarcinoma tissue with TOM1L1 antibody. HIER: boil tissue sections in pH8 EDTA for 20 min and allow to cool before testing.
IHC staining of FFPE human thyroid cancer tissue with TOM1L1 antibody. HIER: boil tissue sections in pH8 EDTA for 20 min and allow to cool before testing.
IHC staining of FFPE human lung cancer tissue with TOM1L1 antibody. HIER: boil tissue sections in pH8 EDTA for 20 min and allow to cool before testing.
IHC staining of FFPE mouse brain tissue with TOM1L1 antibody. HIER: boil tissue sections in pH8 EDTA for 20 min and allow to cool before testing.
IHC staining of FFPE rat brain tissue with TOM1L1 antibody. HIER: boil tissue sections in pH8 EDTA for 20 min and allow to cool before testing.
Western blot testing of human 1) HeLa, 2) 293T, 3) T-47D and 4) HEL cell lysate with TOM1L1 antibody. Predicted molecular weight ~53 kDa.
Flow cytometry testing of human JK cells with TOM1L1 antibody at 1ug/million cells (blocked with goat sera); Red=cells alone, Green=isotype control, Blue= TOM1L1 antibody.
Availability 1-3 business days
Species Reactivity Human, Mouse, Rat
Format Antigen affinity purified
Clonality Polyclonal (rabbit origin)
Isotype Rabbit IgG
Purity Antigen affinity purified
Buffer Lyophilized from 1X PBS with 2% Trehalose
UniProt O75674
Applications Western Blot : 0.5-1ug/ml
Immunohistochemistry (FFPE) : 2-5ug/ml
Flow Cytometry : 1-3ug/million cells
Immunofluorescence : 5ug/ml
Direct ELISA : 0.1-0.5ug/ml
Limitations This TOM1L1 antibody is available for research use only.
Review this product on BioCompare and get a $20 Amazon gift card

Related Products

  • Applications : IHC-P
    Reactivity : Human
  • Applications : WB, IF, FACS, ELISA (peptide)
    Reactivity : Human

Description

TOM1-like protein 1 is a protein that in humans is encoded by the TOM1L1 gene. Enables clathrin binding activity and protein kinase binding activity. Involved in negative regulation of mitotic nuclear division; positive regulation of protein phosphorylation; and signal transduction. Located in cytosol and endosome.

Application Notes

Optimal dilution of the TOM1L1 antibody should be determined by the researcher.

Immunogen

E. coli-derived recombinant human protein (amino acids D9-D448) was used as the immunogen for the TOM1L1 antibody.

Storage

After reconstitution, the TOM1L1 antibody can be stored for up to one month at 4oC. For long-term, aliquot and store at -20oC. Avoid repeated freezing and thawing.

Cross
Bulk Quote Request Form
Name*:
Organization*:
Email*:
Phone Number*:
Catalog No.*:
Comments and Specifics(amount, formulation, etc.)*:
Validation code: Captchapackage Image


Can't read the image? click here to refresh.
    *required field

Your bulk quote request has been submitted successfully!

Please contact us if you have any questions.