• Tel: 858.663.9055
  • SeparatorEmail: info@nsjbio.com
  • Tel: 858.663.9055
  • Email: info@nsjbio.com
Home >> Antibodies >> TL1A Antibody / VEGI / TNFSF15

TL1A Antibody / VEGI / TNFSF15 [clone TLRM1-1] (V7227)

  Catalog No Formulation Size Price (USD)  
Image V7227-100UG 0.2 mg/ml in 1X PBS with 0.1 mg/ml BSA (US sourced) and 0.05% sodium azide 100 ug 539
Image
V7227-20UG 0.2 mg/ml in 1X PBS with 0.1 mg/ml BSA (US sourced) and 0.05% sodium azide 20 ug 249
Image
V7227SAF-100UG 1 mg/ml in 1X PBS; BSA free, sodium azide free 100 ug 539
Bulk quote request
IHC testing of FFPE human parathyroid tumor with TL1A antibody (clone TLRM1-1). Staining of FFPE tissue requires boiling sections in 10mM Tris with 1mM EDTA, pH9, for 10-20 min followed by cooling at RT for 20 min.
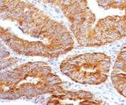
IHC testing of FFPE human colon carcinoma with TL1A antibody (clone TLRM1-1). Staining of FFPE tissue requires boiling sections in 10mM Tris with 1mM EDTA, pH9, for 10-20 min followed by cooling at RT for 20 min.
Species Reactivity Human
Format Purified
Clonality Monoclonal (mouse origin)
Isotype Mouse IgG1, kappa
Clone Name TLRM1-1
Purity Protein G affinity chromatography
Buffer 1X PBS, pH 7.4
UniProt O95150
Gene ID 9966
Localization Cytoplasmic, cell surface, secreted
Applications Immunohistochemistry (FFPE) : 1-2ug/ml
Limitations This TL1A antibody is available for research use only.
Review this product on BioCompare and get a $20 Amazon gift card

Related Products

Description

Vascular endothelial growth inhibitor (VEGI), also known as TNF-like ligand 1A (TL1A) and TNF superfamily member 15 (TNFSF15), is protein that in humans is encoded by the TNFSF15 gene. TL1A/VEGI is an anti-angiogenic protein. It belongs to tumor necrosis factor (ligand) superfamily, where it is member 15. It is the sole known ligand for death receptor 3, and it can also be recognized by decoy receptor 3.

TL1A is abundantly expressed in endothelial cells, but is not expressed in either B or T cells. The expression of this protein is inducible by TNF-alpha and IL-1 alpha. This cytokine is a ligand for receptor TNFRSF25 (death receptor 3) and TNFRSF6B (decoy receptor 3). It can activate both the NF-κB and MAPK signalling pathways, and acts as an autocrine factor to induce apoptosis in endothelial cells. This cytokine is also found to inhibit endothelial cell proliferation, and thus may function as an angiogenesis inhibitor. [Wiki]

Application Notes

The concentration stated for each application is a general starting point. Variations in protocols, secondaries and substrates may require the TL1A antibody to be titered up or down for optimal performance.

Immunogen

A full length human recombinant protein was used as the immunogen for this TL1A antibody.

Storage

Store the TL1A antibody at 2-8oC (with azide) or aliquot and store at -20oC or colder (without azide).

Cross
Bulk Quote Request Form
Name*:
Organization*:
Email*:
Phone Number*:
Catalog No.*:
Comments and Specifics(amount, formulation, etc.)*:
Validation code: Captchapackage Image


Can't read the image? click here to refresh.
    *required field

Your bulk quote request has been submitted successfully!

Please contact us if you have any questions.