• Tel: 858.663.9055
  • SeparatorEmail: info@nsjbio.com
  • Tel: 858.663.9055
  • Email: info@nsjbio.com
Home >> Antibodies >> TAB1 Antibody

TAB1 Antibody [clone 1B9-D11-B10] (F54051)

  Catalog No Formulation Size Price (USD)  
Image F54051-0.1ML In PBS with 50% glycerol and 0.03% ProClin 300 0.1 ml 429
Bulk quote request
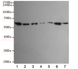
Western blot testing of human 1) HCT116, 2) SW480, 3) HepG2, 4) A549, 5) Jurkat, 6) K562 and 7) HeLa cell lysates using TAB1 antibody at 1:1000. Predicted molecular weight ~55 kDa.
Availability 1-3 business days
Species Reactivity Human
Format Purified
Clonality Monoclonal (mouse origin)
Isotype Mouse lgG2b
Clone Name 1B9-D11-B10
Purity Protein G affinity
UniProt Q15750
Applications Western Blot : 1:1000
Limitations This TAB1 antibody is available for research use only.
Review this product on BioCompare and get a $20 Amazon gift card

Related Products

Description

TAB1 (TAK1-binding protein 1) may be an important signaling intermediate between TGFB receptors and MAP3K7/TAK1. May play an important role in mammalian embryogenesis. [UniProt]

Application Notes

The stated application concentrations are suggested starting points. Titration of the TAB1 antibody may be required due to differences in protocols and secondary/substrate sensitivity.

Immunogen

A human recombinant protein was used as the immunogen for this TAB1 antibody.

Storage

Store the TAB1 antibody at -20oC.

Cross
Bulk Quote Request Form
Name*:
Organization*:
Email*:
Phone Number*:
Catalog No.*:
Comments and Specifics(amount, formulation, etc.)*:
Validation code: Captchapackage Image


Can't read the image? click here to refresh.
    *required field

Your bulk quote request has been submitted successfully!

Please contact us if you have any questions.