• Tel: 858.663.9055
  • SeparatorEmail: info@nsjbio.com
  • Tel: 858.663.9055
  • Email: info@nsjbio.com
Home >> Antibodies >> SSBP1 Antibody / Single-stranded DNA-binding protein

SSBP1 Antibody / Single-stranded DNA-binding protein (RQ7903)

  Catalog No Formulation Size Price (USD)  
Image RQ7903 0.5mg/ml if reconstituted with 0.2ml sterile DI water 100 ug 439
Bulk quote request
Immunofluorescent staining of FFPE human ovarian cancer tissue with SSBP1 antibody (green) and DAPI nuclear stain (blue). HIER: steam section in pH8 EDTA buffer for 20 min.
Immunofluorescent staining of FFPE human colon cancer tissue with SSBP1 antibody (green) and DAPI nuclear stain (blue). HIER: steam section in pH8 EDTA buffer for 20 min.
Immunofluorescent staining of FFPE human U-2 OS cells with SSBP1 antibody (red) and DAPI nuclear stain (blue). HIER: steam section in pH6 citrate buffer for 20 min.
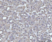
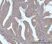
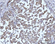
IHC staining of FFPE human lung adenocarcinoma tissue with SSBP1 antibody. HIER: boil tissue sections in pH8 EDTA for 20 min and allow to cool before testing.
IHC staining of FFPE human colon adenocarcinoma tissue with SSBP1 antibody. HIER: boil tissue sections in pH8 EDTA for 20 min and allow to cool before testing.
IHC staining of FFPE human endometrioid adenocarcinoma tissue with SSBP1 antibody. HIER: boil tissue sections in pH8 EDTA for 20 min and allow to cool before testing.
IHC staining of FFPE human liver cancer tissue with SSBP1 antibody. HIER: boil tissue sections in pH8 EDTA for 20 min and allow to cool before testing.
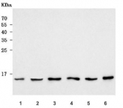
Western blot testing of human 1) HeLa, 2) 293T, 3) MOLT-4, 4) K562, 5) A549 and 6) A375 cell lysate with SSBP1 antibody. Predicted molecular weight ~17 kDa.
Flow cytometry testing of human HL60 cells with SSBP1 antibody at 1ug/million cells (blocked with goat sera); Red=cells alone, Green=isotype control, Blue= SSBP1 antibody.
Availability 1-3 business days
Species Reactivity Human
Format Antigen affinity purified
Clonality Polyclonal (rabbit origin)
Isotype Rabbit IgG
Purity Antigen affinity purified
Buffer Lyophilized from 1X PBS with 2% Trehalose
UniProt Q04837
Localization Cytoplasmic
Applications Western Blot : 0.5-1ug/ml
Immunohistochemistry (FFPE) : 2-5ug/ml
Immunofluorescence (FFPE) : 5ug/ml
Flow Cytometry : 1-3ug/million cells
Direct ELISA : 0.1-0.5ug/ml
Limitations This SSBP1 antibody is available for research use only.
Review this product on BioCompare and get a $20 Amazon gift card

Description

Single-stranded DNA-binding protein, mitochondrial is a protein that in humans is encoded by the SSBP1 gene. SSBP1 is a housekeeping gene involved in mitochondrial biogenesis. It is also a subunit of a single-stranded DNA (ssDNA)-binding complex involved in the maintenance of genome stability.

Application Notes

Optimal dilution of the SSBP1 antibody should be determined by the researcher.

Immunogen

E. coli-derived recombinant human protein (amino acids M1-E148) was used as the immunogen for the SSBP1 antibody.

Storage

After reconstitution, the SSBP1 antibody can be stored for up to one month at 4oC. For long-term, aliquot and store at -20oC. Avoid repeated freezing and thawing.

Cross
Bulk Quote Request Form
Name*:
Organization*:
Email*:
Phone Number*:
Catalog No.*:
Comments and Specifics(amount, formulation, etc.)*:
Validation code: Captchapackage Image


Can't read the image? click here to refresh.
    *required field

Your bulk quote request has been submitted successfully!

Please contact us if you have any questions.