• Tel: 858.663.9055
  • SeparatorEmail: info@nsjbio.com
  • Tel: 858.663.9055
  • Email: info@nsjbio.com
Home >> Antibodies >> Splicing factor 1 Antibody / SF1

Splicing factor 1 Antibody / SF1 (R30963)

  Catalog No Formulation Size Price (USD)  
Image R30963 0.5mg/ml if reconstituted with 0.2ml sterile DI water 100 ug 439
Bulk quote request
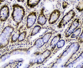
IHC staining of FFPE rat small intestine tissue with Splicing factor 1 antibody. HIER: boil tissue sections in pH6 citrate buffer for 20 min and allow to cool before testing.
IHC staining of FFPE human lung cancer tissue with Splicing factor 1 antibody. HIER: boil tissue sections in pH8 EDTA for 20 min and allow to cool before testing.
IHC staining of frozen rat spleen tissue with Splicing factor 1 antibody.
Immunocytochemical staining of FFPE human HeLa cells with Splicing factor 1 antibody. HIER: boil tissue sections in pH6 citrate buffer for 20 min and allow to cool before testing.
Immunofluorescent staining of FFPE human U-87 MG cells with Splicing factor 1 antibody (red). HIER: steam section in pH6 citrate buffer for 20 min.
Western blot testing of 1) human K562, 2) human A549, 3) human ThP-1, 4) rat PC-12 and 5) mouse RAW264.7 cell lysate with Splicing factor 1 antibody. Predicted molecular weight ~68 kDa (multiple isoforms).
Flow cytometry testing of human 293T cells with Splicing factor 1 antibody at 1ug/million cells (blocked with goat sera); Red=cells alone, Green=isotype control, Blue= Splicing factor 1 antibody.
Availability 1-3 business days
Species Reactivity Human, Mouse, Rat
Format Antigen affinity purified
Clonality Polyclonal (rabbit origin)
Isotype Rabbit IgG
Purity Antigen affinity
Buffer Lyophilized from 1X PBS with 2.5% BSA and 0.025% sodium azide/thimerosal
UniProt Q15637
Localization Nuclear
Applications Western Blot : 0.5-1ug/ml
Immunohistochemistry (FFPE) : 0.5-1ug/ml
Immunocytochemistry : 0.5-1ug/ml
Immunofluorescence : 5ug/ml
Flow Cytometry : 1-3ug/million cells
Limitations This Splicing factor 1 antibody is available for research use only.
Review this product on BioCompare and get a $20 Amazon gift card

Related Products

Description

Splicing factor 1, also known a sSF1, Zinc finger protein 162 (ZNF162), ZFM162, Transcription factor ZFM1, and Mammalian branch point-binding protein (BBP or mBBP), is a protein that in humans is encoded by the SF1 gene. It ispredicted 623-amino acid protein. RT-PCR was used to show expression in the thyroid gland, pancreas, adrenal gland, and ovary. All of the isoforms contain a KH domain, a sequence motif present in proteins playinig a major role in regulating cellular RNA metabolism.

Application Notes

The stated application concentrations are suggested starting amounts. Titration of the Splicing factor 1 antibody may be required due to differences in protocols and secondary/substrate sensitivity.

Immunogen

An amino acid sequence from the N-terminus of human Splicing factor 1 (DFPSKKRKRSRWNQDTMEQK) was used as the immunogen for this Splicing factor 1 antibody (100% homologous in human, mouse and rat).

Storage

After reconstitution, the Splicing factor 1 antibody can be stored for up to one month at 4oC. For long-term, aliquot and store at -20oC. Avoid repeated freezing and thawing.

Cross
Bulk Quote Request Form
Name*:
Organization*:
Email*:
Phone Number*:
Catalog No.*:
Comments and Specifics(amount, formulation, etc.)*:
Validation code: Captchapackage Image


Can't read the image? click here to refresh.
    *required field

Your bulk quote request has been submitted successfully!

Please contact us if you have any questions.