• Tel: 858.663.9055
  • SeparatorEmail: info@nsjbio.com
  • Tel: 858.663.9055
  • Email: info@nsjbio.com
Home >> Antibodies >> Spastin Antibody

Spastin Antibody [clone RM346] (R20368)

  Catalog No Formulation Size Price (USD)  
Image R20368-0.1ML Antibody in PBS with 50% glycerol, 1% BSA and 0.09% sodium azide 100 ul 429
Microvalidated Recrabbitmono
Bulk quote request
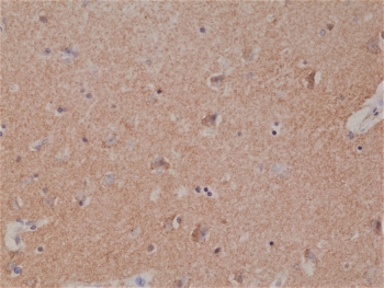
IHC staining of FFPE human brain tissue with recombinant Spastin antibody at 1:1000.
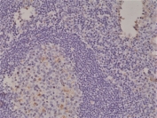
IHC staining of FFPE human tonsil tissue with recombinant Spastin antibody at 1:1000.
Western blot testing of lysate from human HeLa cells transfected with control siRNA (1) or Spastin siRNA, using recombinant Spastin antibody at 1:500.
Availability 1-3 business days
Species Reactivity Human
Format Purified
Clonality Recombinant Rabbit Monoclonal
Isotype Rabbit IgG
Clone Name RM346
Purity Protein A purified from animal origin-free supernatant
UniProt Q9UBP0
Localization Cytoplasmic, nuclear
Applications Immunohistochemistry (FFPE) : 1:500-1:1000
Western Blot : 1:500-1:1000
Limitations This recombinant Spastin antibody is available for research use only.
Review this product on BioCompare and get a $20 Amazon gift card

Related Products

Description

This antibody reacts to human Spastin.

Application Notes

The stated application concentrations are suggested starting points. Titration of the recombinant Spastin antibody may be required due to differences in protocols and secondary/substrate sensitivity.

Immunogen

A peptide corresponding to the N-terminus of human Spastin was used as the immunogen for the recombinant Spastin antibody.

Storage

Store the recombinant Spastin antibody at -20oC.

Cross
Bulk Quote Request Form
Name*:
Organization*:
Email*:
Phone Number*:
Catalog No.*:
Comments and Specifics(amount, formulation, etc.)*:
Validation code: Captchapackage Image


Can't read the image? click here to refresh.
    *required field

Your bulk quote request has been submitted successfully!

Please contact us if you have any questions.