• Tel: 858.663.9055
  • SeparatorEmail: info@nsjbio.com
  • Tel: 858.663.9055
  • Email: info@nsjbio.com
Home >> Antibodies >> SP6 Antibody / Transcription factor Sp6 / KLF14

SP6 Antibody / Transcription factor Sp6 / KLF14 (RQ4149)

  Catalog No Formulation Size Price (USD)  
Image RQ4149 0.5mg/ml if reconstituted with 0.2ml sterile DI water 100 ug 439
Bulk quote request
Immunofluorescent staining of FFPE human A549 cells with SP6 antibody (green) and Beta Tubulin mAb (red). HIER: steam section in pH6 citrate buffer for 20 min.
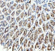
IHC staining of FFPE mouse stomach tissue with SP6 antibody. HIER: boil tissue sections in pH8 EDTA for 20 min and allow to cool before testing.
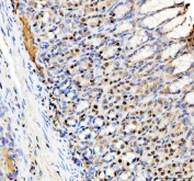
IHC staining of FFPE rat stomach tissue with SP6 antibody. HIER: boil tissue sections in pH8 EDTA for 20 min and allow to cool before testing.
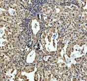
IHC staining of FFPE human placental tissue with SP6 antibody. HIER: boil tissue sections in pH8 EDTA for 20 min and allow to cool before testing.
IHC staining of FFPE human lung cancer tissue with SP6 antibody. HIER: boil tissue sections in pH8 EDTA for 20 min and allow to cool before testing.
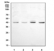
Western blot testing of human 1) Caco-2, 2) RT4, 3) A431 and 4) K562 cell lysate with SP6 antibody. Predicted molecular weight ~40 kDa.
Availability 1-3 business days
Species Reactivity Human, Mouse, Rat
Format Antigen affinity purified
Clonality Polyclonal (rabbit origin)
Isotype Rabbit IgG
Purity Antigen affinity purified
Buffer Lyophilized from 1X PBS with 2% Trehalose
UniProt Q3SY56
Localization Nuclear
Applications Western Blot : 0.5-1ug/ml
Immunohistochemistry (FFPE) : 2-5ug/ml
Immunofluorescence : 5ug/ml
Limitations This SP6 antibody is available for research use only.
Review this product on BioCompare and get a $20 Amazon gift card

Related Products

Description

SP6 belongs to a family of transcription factors that contain 3 classical zinc finger DNA-binding domains consisting of a zinc atom tetrahedrally coordinated by 2 cysteines and 2 histidines (C2H2 motif). These transcription factors bind to GC-rich sequences and related GT and CACCC boxes. By somatic cell hybrid analysis and FISH, the SP6 gene is mapped to chromosome 17q21.3-q22.

Application Notes

Optimal dilution of the SP6 antibody should be determined by the researcher.

Immunogen

Amino acids QPDMSHHYESWFRPTHPGAEDGSWWDLHPGTSWMDLPH from the human protein were used as the immunogen for the SP6 antibody.

Storage

After reconstitution, the SP6 antibody can be stored for up to one month at 4oC. For long-term, aliquot and store at -20oC. Avoid repeated freezing and thawing.

Cross
Bulk Quote Request Form
Name*:
Organization*:
Email*:
Phone Number*:
Catalog No.*:
Comments and Specifics(amount, formulation, etc.)*:
Validation code: Captchapackage Image


Can't read the image? click here to refresh.
    *required field

Your bulk quote request has been submitted successfully!

Please contact us if you have any questions.