• Tel: 858.663.9055
  • SeparatorEmail: info@nsjbio.com
  • Tel: 858.663.9055
  • Email: info@nsjbio.com
Home >> Antibodies >> SOX15 Antibody

SOX15 Antibody (RQ5453)

  Catalog No Formulation Size Price (USD)  
Image RQ5453 0.5mg/ml if reconstituted with 0.2ml sterile DI water 100 ug 439
Bulk quote request
IF/ICC staining of FFPE human A431 cells with SOX15 antibody at 2ug/ml. HIER: steam section in pH6 citrate buffer for 20 min.
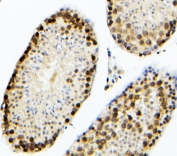
IHC staining of FFPE human testis cancer with SOX15 antibody. HIER: boil tissue sections in pH6, 10mM citrate buffer, for 20 min and allow to cool before testing.
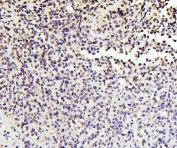
IHC staining of FFPE mouse brain with SOX15 antibody. HIER: boil tissue sections in pH6, 10mM citrate buffer, for 20 min and allow to cool before testing.
IHC staining of FFPE mouse testis with SOX15 antibody. HIER: boil tissue sections in pH6, 10mM citrate buffer, for 20 min and allow to cool before testing.
IHC staining of FFPE rat testis with SOX15 antibody. HIER: boil tissue sections in pH6, 10mM citrate buffer, for 20 min and allow to cool before testing.
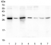
Western blot testing of human 1) A431, 2) U-87 MG, 3) HEK293, 4) K562, 5) U-2 OS, 6) rat thymus and 7) mouse SP20 lysate with SOX15 antibody. Predicted molecular weight ~25 kDa.
Availability 1-3 business days
Species Reactivity Human, Mouse, Rat
Format Antigen affinity purified
Clonality Polyclonal (rabbit origin)
Isotype Rabbit IgG
Purity Affinity purified
Buffer Lyophilized from 1X PBS with 2% Trehalose and 0.025% sodium azide
UniProt O60248
Localization Nuclear
Applications Western Blot : 0.1-0.5ug/ml
Immunohistochemistry (FFPE) : 0.5-1ug/ml
Immunocytochemistry/Immunofluorescence : 2-4ug/ml
Direct ELISA : 0.1-0.5ug/ml
Limitations This SOX15 antibody is available for research use only.
Review this product on BioCompare and get a $20 Amazon gift card

Related Products

  • Applications : WB, ELISA (peptide)
    Reactivity : Human

Description

Protein SOX-15 is a protein that in humans is encoded by the SOX15 gene. This gene encodes a member of the SOX (SRY-related HMG-box) family of transcription factors involved in the regulation of embryonic development and in the determination of the cell fate. The encoded protein may act as a transcriptional regulator after forming a protein complex with other proteins.

Application Notes

Optimal dilution of the SOX15 antibody should be determined by the researcher.

Immunogen

Amino acids M1-L233 from the human protein were used as the immunogen for the SOX15 antibody.

Storage

Store the SOX15 antibody at -20oC.

Cross
Bulk Quote Request Form
Name*:
Organization*:
Email*:
Phone Number*:
Catalog No.*:
Comments and Specifics(amount, formulation, etc.)*:
Validation code: Captchapackage Image


Can't read the image? click here to refresh.
    *required field

Your bulk quote request has been submitted successfully!

Please contact us if you have any questions.