• Tel: 858.663.9055
  • SeparatorEmail: info@nsjbio.com
  • Tel: 858.663.9055
  • Email: info@nsjbio.com
Home >> Antibodies >> SLC25A24 Antibody / Mitochondrial ATP-Mg/Pi carrier protein 1

SLC25A24 Antibody / Mitochondrial ATP-Mg/Pi carrier protein 1 (RQ7686)

  Catalog No Formulation Size Price (USD)  
Image RQ7686 0.5mg/ml if reconstituted with 0.2ml sterile DI water 100 ug 439
Bulk quote request
Immunofluorescent staining of FFPE human colon cancer tissue with SLC25A24 antibody (green) and DAPI nuclear stain (blue). HIER: steam section in pH6 citrate buffer for 20 min.
IHC staining of FFPE human lung adenocarcinoma tissue with SLC25A24 antibody. HIER: boil tissue sections in pH8 EDTA for 20 min and allow to cool before testing.
IHC staining of FFPE human testicular seminoma tissue with SLC25A24 antibody. HIER: boil tissue sections in pH8 EDTA for 20 min and allow to cool before testing.
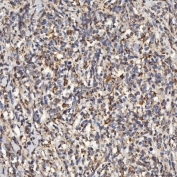
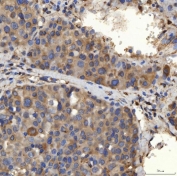
IHC staining of FFPE human diffuse large B cell lymphoma tissue with SLC25A24 antibody. HIER: boil tissue sections in pH8 EDTA for 20 min and allow to cool before testing.
IHC staining of FFPE human duodenal papilla adenocarcinoma tissue with SLC25A24 antibody. HIER: boil tissue sections in pH8 EDTA for 20 min and allow to cool before testing.
IHC staining of FFPE human endometrioid adenocarcinoma tissue with SLC25A24 antibody. HIER: boil tissue sections in pH8 EDTA for 20 min and allow to cool before testing.
IHC staining of FFPE human glioblastoma tissue with SLC25A24 antibody. HIER: boil tissue sections in pH8 EDTA for 20 min and allow to cool before testing.
IHC staining of FFPE human larynx squamous cell carcinoma tissue with SLC25A24 antibody. HIER: boil tissue sections in pH8 EDTA for 20 min and allow to cool before testing.
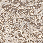
IHC staining of FFPE human liver cancer tissue with SLC25A24 antibody. HIER: boil tissue sections in pH8 EDTA for 20 min and allow to cool before testing.
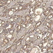
IHC staining of FFPE human prostate adenocarcinoma tissue with SLC25A24 antibody. HIER: boil tissue sections in pH8 EDTA for 20 min and allow to cool before testing.
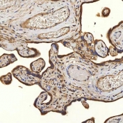
IHC staining of FFPE human placental tissue with SLC25A24 antibody. HIER: boil tissue sections in pH8 EDTA for 20 min and allow to cool before testing.
IHC staining of FFPE human spleen tissue with SLC25A24 antibody. HIER: boil tissue sections in pH8 EDTA for 20 min and allow to cool before testing.
Western blot testing of human 1) 293T, 2) placenta, 3) A431 and 4) MCF7 cell lysate with SLC25A24 antibody. Predicted molecular weight: 51-53 kDa (two isoforms).
Flow cytometry testing of human MCF7 cells with SLC25A24 antibody at 1ug/million cells (blocked with goat sera); Red=cells alone, Green=isotype control, Blue= SLC25A24 antibody.
Availability 1-3 business days
Species Reactivity Human
Format Antigen affinity purified
Clonality Polyclonal (rabbit origin)
Isotype Rabbit IgG
Purity Antigen affinity purified
Buffer Lyophilized from 1X PBS with 2% Trehalose
UniProt Q6NUK1
Localization Cytoplasmic
Applications Western Blot : 0.5-1ug/ml
Immunohistochemistry (FFPE) : 2-5ug/ml
Flow Cytometry : 1-3ug/million cells
Immunofluorescence : 5ug/ml
Direct ELISA : 0.1-0.5ug/ml
Limitations This SLC25A24 antibody is available for research use only.
Review this product on BioCompare and get a $20 Amazon gift card

Description

Calcium-binding mitochondrial carrier protein SCaMC-1 is a protein that in humans is encoded by the SLC25A24 gene. This gene encodes a carrier protein that transports ATP-Mg exchanging it for phosphate. Multiple transcript variants encoding different isoforms have been found for this gene.

Application Notes

Optimal dilution of the SLC25A24 antibody should be determined by the researcher.

Immunogen

E. coli-derived recombinant human protein (amino acids M1-I293) was used as the immunogen for the SLC25A24 antibody.

Storage

After reconstitution, the SLC25A24 antibody can be stored for up to one month at 4oC. For long-term, aliquot and store at -20oC. Avoid repeated freezing and thawing.

Cross
Bulk Quote Request Form
Name*:
Organization*:
Email*:
Phone Number*:
Catalog No.*:
Comments and Specifics(amount, formulation, etc.)*:
Validation code: Captchapackage Image


Can't read the image? click here to refresh.
    *required field

Your bulk quote request has been submitted successfully!

Please contact us if you have any questions.