• Tel: 858.663.9055
  • SeparatorEmail: info@nsjbio.com
  • Tel: 858.663.9055
  • Email: info@nsjbio.com
Home >> Antibodies >> Sirtuin 1 Antibody

Sirtuin 1 Antibody (R33844)

  Catalog No Formulation Size Price (USD)  
Image R33844-100UG 0.5 mg/ml in 1X TBS, pH7.3, with 0.5% BSA (US sourced) and 0.02% sodium azide 100 ug 449
Bulk quote request
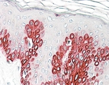
IHC staining of FFPE human skin with Sirtuin 1 antibody at 4ug/ml. HIER: steamed with pH6 citrate buffer, AP-staining.
Western blot testing of Jurkat lysate with Sirtuin 1 antibody at 0.05ug/ml. Predicted molecular weight ~80kDa but is routinely observed at 110~120kDa due to post-translational modification.
Availability 1-3 business days
Species Reactivity Human
Predicted Reactivity Mouse
Format Antigen affinity purified
Clonality Polyclonal (goat origin)
Isotype Goat Ig
Purity Antigen affinity
Gene ID 23411
Applications Western Blot : 0.05-0.2ug/ml
Immunohistochemistry (FFPE) : 3-5ug/ml
ELISA (peptide) LOD : 1:64000
Limitations This Sirtuin 1 antibody is available for research use only.
Review this product on BioCompare and get a $20 Amazon gift card

Related Products

  • Applications : ELISA, FACS, IF, WB
    Reactivity : Human
    Microvalidated
  • Applications : WB, ELISA
    Reactivity : Human
  • Applications : WB, IF
    Reactivity : Human
  • Applications : IHC, IF, WB, ELISA
    Reactivity : Human, Mouse
  • Applications : WB, ELISA
    Reactivity : Mouse
  • Applications : WB, ELISA
    Reactivity : Human
  • Applications : WB, ELISA (peptide)
    Reactivity : Human, Mouse, Rat
    Pred. Reactivity : Dog
  • Applications : WB, IF, Direct ELISA
    Reactivity : Human

Description

Additional name(s) for this target protein: Sirtuin; SIRT; SIRT1

Application Notes

Optimal dilution of the Sirtuin 1 antibody should be determined by the researcher.

Immunogen

Amino acids EKPQEVQTSRNVES were used as the immunogen for this Sirtuin 1 antibody.

Storage

Aliquot and store the Sirtuin 1 antibody at -20oC.

Cross
Bulk Quote Request Form
Name*:
Organization*:
Email*:
Phone Number*:
Catalog No.*:
Comments and Specifics(amount, formulation, etc.)*:
Validation code: Captchapackage Image


Can't read the image? click here to refresh.
    *required field

Your bulk quote request has been submitted successfully!

Please contact us if you have any questions.