• Tel: 858.663.9055
  • SeparatorEmail: info@nsjbio.com
  • Tel: 858.663.9055
  • Email: info@nsjbio.com
Home >> Antibodies >> SIL1 Antibody

SIL1 Antibody (R33867)

  Catalog No Formulation Size Price (USD)  
Image R33867-100UG 0.5 mg/ml in 1X TBS, pH7.3, with 0.5% BSA (US sourced) and 0.02% sodium azide 100 ug 449
Bulk quote request
Western blot testing of human kidney lysate with SIL1 antibody at 1ug/ml. Predicted molecular weight: ~53 kDa.
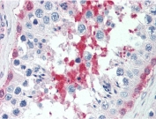
IHC testing of FFPE human testis tissue with SIL1 antibody at 5ug/ml. Required HIER: steamed antigen retrieval with pH6 citrate buffer; AP-staining.
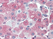
IHC testing of FFPE human liver tissue with SIL1 antibody at 5ug/ml. Required HIER: steamed antigen retrieval with pH6 citrate buffer; AP-staining.
Availability 1-3 business days
Species Reactivity Human
Format Antigen affinity purified
Clonality Polyclonal (goat origin)
Isotype Goat Ig
Purity Antigen affinity
Gene ID 64374
Localization Cytoplasmic
Applications Western Blot : 1-3ug/ml
IHC (FFPE) : 5ug/ml
ELISA (peptide) LOD : 1:8000
Limitations This SIL1 antibody is available for research use only.
Review this product on BioCompare and get a $20 Amazon gift card

Description

Additional name(s) for this target protein: BiP-associated protein, BAP

Application Notes

Optimal dilution of the SIL1 antibody should be determined by the researcher.

Immunogen

Amino acids ELLGSVNSLLKELR were used as the immunogen for this SIL1 antibody.

Storage

Aliquot and store the SIL1 antibody at -20oC.

Cross
Bulk Quote Request Form
Name*:
Organization*:
Email*:
Phone Number*:
Catalog No.*:
Comments and Specifics(amount, formulation, etc.)*:
Validation code: Captchapackage Image


Can't read the image? click here to refresh.
    *required field

Your bulk quote request has been submitted successfully!

Please contact us if you have any questions.