• Tel: 858.663.9055
  • SeparatorEmail: info@nsjbio.com
  • Tel: 858.663.9055
  • Email: info@nsjbio.com
Home >> Antibodies >> SH3GL2 Antibody / Endophilin A1

SH3GL2 Antibody / Endophilin A1 (R35957)

  Catalog No Formulation Size Price (USD)  
Image R35957-100UG 0.5 mg/ml in 1X TBS, pH7.3, with 0.5% BSA (US sourced) and 0.02% sodium azide 100 ug 449
Bulk quote request
Western blot testing of human frontal cortex lysate with SH3GL2 antibody at 0.3ug/ml. Predicted molecular weight: ~40 kDa.
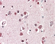
IHC staining of FFPE human cerebral cortex with SH3GL2 antibody at 5ug/ml. HIER: steamed with pH6 citrate buffer, AP-staining.
Availability 1-3 business days
Species Reactivity Human
Predicted Reactivity Pig
Format Antigen affinity purified
Clonality Polyclonal (goat origin)
Isotype Goat Ig
Purity Antigen affinity
UniProt Q99962
Gene ID 6456
Applications Western Blot : 0.3-1ug/ml
Immunohistochemistry (FFPE) : 5-10ug/ml
ELISA (peptide) LOD : 1:64000
Limitations This SH3GL2 antibody is available for research use only.
Review this product on BioCompare and get a $20 Amazon gift card

Related Products

Description

Additional name(s) for this target protein: SH3-domain GRB2-like 2; endophilin

Application Notes

Optimal dilution of the SH3GL2 antibody should be determined by the researcher.

Immunogen

Amino acids SLEFPTGDSTQPN were used as the immunogen for this SH3GL2 antibody.

Storage

Aliquot and store the SH3GL2 antibody at -20oC.

Cross
Bulk Quote Request Form
Name*:
Organization*:
Email*:
Phone Number*:
Catalog No.*:
Comments and Specifics(amount, formulation, etc.)*:
Validation code: Captchapackage Image


Can't read the image? click here to refresh.
    *required field

Your bulk quote request has been submitted successfully!

Please contact us if you have any questions.