• Tel: 858.663.9055
  • SeparatorEmail: info@nsjbio.com
  • Tel: 858.663.9055
  • Email: info@nsjbio.com
Home >> Antibodies >> SETD3 Antibody / Actin-histidine N-methyltransferase

SETD3 Antibody / Actin-histidine N-methyltransferase (RQ7583)

  Catalog No Formulation Size Price (USD)  
Image RQ7583 0.5mg/ml if reconstituted with 0.2ml sterile DI water 100 ug 439
Bulk quote request
Western blot testing of 1) rat heart, 2) rat H9c2(2-1), 3) rat C6, 4) mouse heart, 5) mouse C2C12 and 6) mouse NIH 3T3 cell lysate with SETD3 antibody. Predicted molecular weight ~67 kDa.
Western blot testing of human 1) MCF7, 2) T-47D, 3) Jurkat, 4) MOLT4, 5) HL60, 6) PC-3 and 7) RT4 cell lysate with SETD3 antibody. Predicted molecular weight ~67 kDa.
IHC staining of FFPE human liver cancer tissue with SETD3 antibody. HIER: boil tissue sections in pH8 EDTA for 20 min and allow to cool before testing.
IHC staining of FFPE human ovarian serous cancer tissue with SETD3 antibody. HIER: boil tissue sections in pH8 EDTA for 20 min and allow to cool before testing.
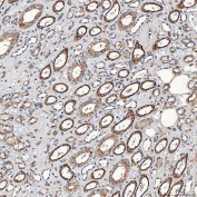
IHC staining of FFPE human renal cancer tissue with SETD3 antibody. HIER: boil tissue sections in pH8 EDTA for 20 min and allow to cool before testing.
IHC staining of FFPE human breast cancer tissue with SETD3 antibody. HIER: boil tissue sections in pH8 EDTA for 20 min and allow to cool before testing.
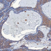
IHC staining of FFPE human spleen tissue with SETD3 antibody. HIER: boil tissue sections in pH8 EDTA for 20 min and allow to cool before testing.
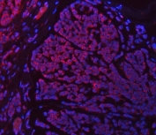
Immunofluorescent staining of FFPE human breast cancer tissue with SETD3 antibody (red) and DAPI nuclear stain (blue). HIER: steam section in pH8 EDTA buffer for 20 min.
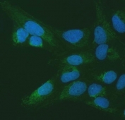
Immunofluorescent staining of FFPE human U-2 OS cells with SETD3 antibody (green) and DAPI nuclear stain (blue). HIER: steam section in pH6 citrate buffer for 20 min.
Flow cytometry testing of human 293T cells with SETD3 antibody at 1ug/million cells (blocked with goat sera); Red=cells alone, Green=isotype control, Blue= SETD3 antibody.
Flow cytometry testing of human HL60 cells with SETD3 antibody at 1ug/million cells (blocked with goat sera); Red=cells alone, Green=isotype control, Blue= SETD3 antibody.
Availability 1-3 business days
Species Reactivity Human, Mouse, Rat
Format Antigen affinity purified
Clonality Polyclonal (rabbit origin)
Isotype Rabbit IgG
Purity Antigen affinity purified
Buffer Lyophilized from 1X PBS with 2% Trehalose
UniProt Q86TU7
Localization Cytoplasmic, nuclear
Applications Western Blot : 0.5-1ug/ml
Immunohistochemistry (FFPE) : 2-5ug/ml
Immunofluorescence : 5ug/ml
Flow Cytometry : 1-3ug/million cells
Direct ELISA : 0.1-0.5ug/ml
Limitations This SETD3 antibody is available for research use only.
Review this product on BioCompare and get a $20 Amazon gift card

Description

SET domain containing 3 (SETD3) is a protein that in humans is encoded by the SETD3 gene. SETD3 is a histone methyltransferase. In mouse muscle cells, Setd3 catalyzes mono- and dimethylation of histone H3 lysine-4 and H3K36 and promotes transcription of genes required for muscle cell differentiation.

Application Notes

Optimal dilution of the SETD3 antibody should be determined by the researcher.

Immunogen

E. coli-derived recombinant human protein (amino acids Q173-R468) was used as the immunogen for the SETD3 antibody.

Storage

After reconstitution, the SETD3 antibody can be stored for up to one month at 4oC. For long-term, aliquot and store at -20oC. Avoid repeated freezing and thawing.

Cross
Bulk Quote Request Form
Name*:
Organization*:
Email*:
Phone Number*:
Catalog No.*:
Comments and Specifics(amount, formulation, etc.)*:
Validation code: Captchapackage Image


Can't read the image? click here to refresh.
    *required field

Your bulk quote request has been submitted successfully!

Please contact us if you have any questions.