• Tel: 858.663.9055
  • SeparatorEmail: info@nsjbio.com
  • Tel: 858.663.9055
  • Email: info@nsjbio.com
Home >> Antibodies >> SEC22B Antibody

SEC22B Antibody (RQ7527)

  Catalog No Formulation Size Price (USD)  
Image RQ7527 0.5mg/ml if reconstituted with 0.2ml sterile DI water 100 ug 439
Bulk quote request
Immunofluorescent staining of FFPE human colon cancer tissue with SEC22B antibody (green) and DAPI nuclear stain (blue). HIER: steam section in pH8 EDTA buffer for 20 min.
Immunofluorescent staining of FFPE human U-2 OS cells with SEC22B antibody (red) and DAPI nuclear stain (blue). HIER: steam section in pH6 citrate buffer for 20 min.
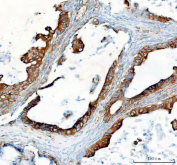
IHC staining of FFPE human ovarian serous adenocarcinoma tissue with SEC22B antibody. HIER: boil tissue sections in pH8 EDTA for 20 min and allow to cool before testing.
IHC staining of FFPE human colorectal adenocarcinoma tissue with SEC22B antibody. HIER: boil tissue sections in pH8 EDTA for 20 min and allow to cool before testing.
IHC staining of FFPE human placental tissue with SEC22B antibody. HIER: boil tissue sections in pH8 EDTA for 20 min and allow to cool before testing.
IHC staining of FFPE mouse brain tissue with SEC22B antibody. HIER: boil tissue sections in pH8 EDTA for 20 min and allow to cool before testing.
IHC staining of FFPE rat brain tissue with SEC22B antibody. HIER: boil tissue sections in pH8 EDTA for 20 min and allow to cool before testing.
Western blot testing of 1) human U-87 MG, 2) human HeLa, 3) human MCF7, 4) human SH-SY5Y, 5) rat brain, 6) rat liver, 7) mouse brain and 8) mouse liver tissue lysate with SEC22B antibody. Predicted molecular weight ~25 kDa.
Flow cytometry testing of human 293T cells with SEC22B antibody at 1ug/million cells (blocked with goat sera); Red=cells alone, Green=isotype control, Blue= SEC22B antibody.
Availability 1-3 business days
Species Reactivity Human, Mouse, Rat
Format Antigen affinity purified
Clonality Polyclonal (rabbit origin)
Isotype Rabbit IgG
Purity Antigen affinity purified
Buffer Lyophilized from 1X PBS with 2% Trehalose
UniProt O75396
Localization Cytoplasm
Applications Western Blot : 0.5-1ug/ml
Flow Cytometry : 1-3ug/million cells
Immunofluorescence : 5ug/ml
Immunohistochemistry (FFPE) : 2-5ug/ml
Direct ELISA : 0.1-0.5ug/ml
Limitations This SEC22B antibody is available for research use only.
Review this product on BioCompare and get a $20 Amazon gift card

Description

Vesicle-trafficking protein SEC22b is a protein that in humans is encoded by the SEC22B gene. The protein encoded by this gene is a member of the SEC22 family of vesicle trafficking proteins. It seems to complex with SNARE and it is thought to play a role in the ER-Golgi protein trafficking. This protein has strong similarity to Mus musculus and Cricetulus griseus proteins.

Application Notes

Optimal dilution of the SEC22B antibody should be determined by the researcher.

Immunogen

E. coli-derived recombinant human protein (amino acids M6-A197) was used as the immunogen for the SEC22B antibody.

Storage

After reconstitution, the SEC22B antibody can be stored for up to one month at 4oC. For long-term, aliquot and store at -20oC. Avoid repeated freezing and thawing.

Cross
Bulk Quote Request Form
Name*:
Organization*:
Email*:
Phone Number*:
Catalog No.*:
Comments and Specifics(amount, formulation, etc.)*:
Validation code: Captchapackage Image


Can't read the image? click here to refresh.
    *required field

Your bulk quote request has been submitted successfully!

Please contact us if you have any questions.