• Tel: 858.663.9055
  • SeparatorEmail: info@nsjbio.com
  • Tel: 858.663.9055
  • Email: info@nsjbio.com
Home >> Antibodies >> RPRD1B Antibody / C20orf77

RPRD1B Antibody / C20orf77 (RQ7960)

  Catalog No Formulation Size Price (USD)  
Image RQ7960 0.5mg/ml if reconstituted with 0.2ml sterile DI water 100 ug 439
Bulk quote request
Immunofluorescent staining of FFPE human U-2 OS cells with RPRD1B antibody (red) and Beta Tubulin mAb (green). HIER: steam section in pH6 citrate buffer for 20 min.
Immunofluorescent staining of FFPE human esophageal squamous cell carcinoma tissue with RPRD1B antibody (red). HIER: steam section in pH8 EDTA buffer for 20 min.
IHC staining of FFPE human B cell lymphoma tissue with RPRD1B antibody. HIER: boil tissue sections in pH8 EDTA for 20 min and allow to cool before testing.
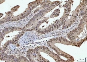
IHC staining of FFPE human esophageal squamous carcinoma tissue with RPRD1B antibody. HIER: boil tissue sections in pH8 EDTA for 20 min and allow to cool before testing.
IHC staining of FFPE human esophageal squamous carcinoma tissue with RPRD1B antibody. HIER: boil tissue sections in pH8 EDTA for 20 min and allow to cool before testing.
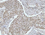
IHC staining of FFPE human rectal cancer tissue with RPRD1B antibody. HIER: boil tissue sections in pH8 EDTA for 20 min and allow to cool before testing.
Western blot testing of 1) human HeLa, 2) human Jurkat, 3) human Caco-2 and 4) monkey COS-7 cell lysate with RPRD1B antibody. Predicted molecular weight ~37 kDa.
Flow cytometry testing of human HeLa cells with RPRD1B antibody at 1ug/million cells (blocked with goat sera); Red=cells alone, Green=isotype control, Blue= RPRD1B antibody.
Availability 1-3 business days
Species Reactivity Human, Monkey
Format Antigen affinity purified
Clonality Polyclonal (rabbit origin)
Isotype Rabbit IgG
Purity Antigen affinity purified
Buffer Lyophilized from 1X PBS with 2% Trehalose
UniProt Q9NQG5
Localization Nuclear
Applications Western Blot : 0.5-1ug/ml
Immunohistochemistry (FFPE) : 2-5ug/ml
Immunofluorescence (FFPE) : 5ug/ml
Flow Cytometry : 1-3ug/million cells
Direct ELISA : 0.1-0.5ug/ml
Limitations This RPRD1B antibody is available for research use only.
Review this product on BioCompare and get a $20 Amazon gift card

Description

Enables RNA polymerase II complex binding activity and identical protein binding activity. Involved in positive regulation of cell population proliferation; regulation of cell cycle process; and regulation of transcription by RNA polymerase II. Located in nucleoplasm. Part of RNA polymerase II, holoenzyme.

Application Notes

Optimal dilution of the RPRD1B antibody should be determined by the researcher.

Immunogen

E. coli-derived recombinant human protein (amino acids R79-K272) was used as the immunogen for the RPRD1B antibody.

Storage

After reconstitution, the RPRD1B antibody can be stored for up to one month at 4oC. For long-term, aliquot and store at -20oC. Avoid repeated freezing and thawing.

Cross
Bulk Quote Request Form
Name*:
Organization*:
Email*:
Phone Number*:
Catalog No.*:
Comments and Specifics(amount, formulation, etc.)*:
Validation code: Captchapackage Image


Can't read the image? click here to refresh.
    *required field

Your bulk quote request has been submitted successfully!

Please contact us if you have any questions.