• Tel: 858.663.9055
  • SeparatorEmail: info@nsjbio.com
  • Tel: 858.663.9055
  • Email: info@nsjbio.com
Home >> Antibodies >> Resistin Antibody / RETN

Resistin Antibody / RETN [clone RETN/4325] (V5621)

  Catalog No Formulation Size Price (USD)  
Image V5621-100UG 0.2 mg/ml in 1X PBS with 0.1 mg/ml BSA (US sourced), 0.05% sodium azide 100 ug 539
Image
V5621-20UG 0.2 mg/ml in 1X PBS with 0.1 mg/ml BSA (US sourced), 0.05% sodium azide 20 ug 249
Image
V5621SAF-100UG 1 mg/ml in 1X PBS; BSA free, sodium azide free 100 ug 539
Bulk quote request
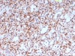
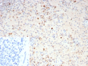
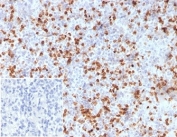
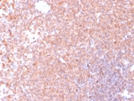
IHC staining of FFPE human spleen tissue with Resistin antibody (clone RETN/4325). Inset: PBS used in place of primary Ab (secondary Ab negative control). HIER: boil tissue sections in pH 9 10mM Tris with 1mM EDTA for 20 min and allow to cool before testing.
Western blot analysis of human heart tissue lysate using Resistin antibody (clone RETN/4325). Predicted molecular weight ~11 kDa.
SDS-PAGE analysis of purified, BSA-free Resistin antibody (clone RETN/4325) as confirmation of integrity and purity.
Availability 1-3 business days
Species Reactivity Human
Format Purified
Clonality Monoclonal (mouse origin)
Isotype Mouse IgG2, lambda
Clone Name RETN/4325
Purity Protein A/G affinity
UniProt Q9HD89
Localization Secreted
Applications Immunohistochemistry (FFPE) : 1-2ug/ml
Western Blot : 2-4ug/ml
Limitations This Resistin antibody is available for research use only.
Review this product on BioCompare and get a $20 Amazon gift card

Related Products

Description

The cysteine-rich, adipose tissue-specific, secretory factor resistin (resistance to Insulin) also known as ADSF, is a secreted hormone that potentially links obesity to diabetes. Resistin is rich in serine and cysteine residues and contains a unique cysteine repeat motif. Resistin and the resistin-like molecules share the characteristic cysteine composition and other signature features. Resistin-like alpha is a secreted protein that has restricted tissue distribution and is most highly expressed in adipose tissue. Another family member, resistin-like beta, is a secreted protein expressed only in the gastrointestinal tract, particularly in the colon, in both mouse and human. Resistin-like beta expression is highest in proliferative epithelial cells and is markedly increased in tumors, suggesting a role in intestinal proliferation.

Application Notes

Optimal dilution of the Resistin antibody should be determined by the researcher.

Immunogen

A recombinant fragment of human RETN protein (within amino acids 19-108) was used as the immunogen for the Resistin antibody.

Storage

Aliquot the Resistin antibody and store frozen at -20oC or colder. Avoid repeated freeze-thaw cycles.

Cross
Bulk Quote Request Form
Name*:
Organization*:
Email*:
Phone Number*:
Catalog No.*:
Comments and Specifics(amount, formulation, etc.)*:
Validation code: Captchapackage Image


Can't read the image? click here to refresh.
    *required field

Your bulk quote request has been submitted successfully!

Please contact us if you have any questions.