• Tel: 858.663.9055
  • SeparatorEmail: info@nsjbio.com
  • Tel: 858.663.9055
  • Email: info@nsjbio.com
Home >> Antibodies >> REDD-1 Antibody / DDIT4

REDD-1 Antibody / DDIT4 (F54848)

  Catalog No Formulation Size Price (USD)  
Image F54848-0.4ML In 1X PBS, pH 7.4, with 0.09% sodium azide 0.4 ml 429
Image
F54848-0.08ML In 1X PBS, pH 7.4, with 0.09% sodium azide 0.08 ml 199
Bulk quote request
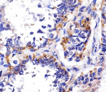
IHC testing of FFPE human adenocarcinoma tissue with REDD-1 antibody. HIER: steam section in pH6 citrate buffer for 20 min and allow to cool prior to staining.
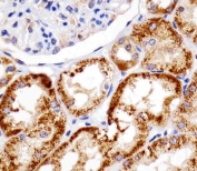
IHC testing of FFPE human kidney tissue with REDD-1 antibody. HIER: steam section in pH6 citrate buffer for 20 min and allow to cool prior to staining.
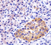
IHC testing of FFPE human pancreas tissue with REDD-1 antibody. HIER: steam section in pH6 citrate buffer for 20 min and allow to cool prior to staining.
Western blot testing of human HeLa cell lysate with REDD-1 antibody. Predicted molecular weight ~25 kDa.
Availability 1-3 business days
Species Reactivity Human
Format Purified
Clonality Polyclonal (rabbit origin)
Isotype Rabbit Ig
Purity Antigen affinity purified
UniProt Q9NX09
Localization Cytoplasmic
Applications Western Blot : 1:1000-1:2000
Immunohistochemistry (FFPE) : 1:25
Limitations This REDD-1 antibody is available for research use only.
Review this product on BioCompare and get a $20 Amazon gift card

Description

REDD-1 is a novel transcriptional target of p53 induced following DNA damage. During embryogenesis, REDD-1 expression mirrors the tissue-specific pattern of the p53 family member p63, and TP63 null embryos show virtually no expression of REDD-1, which is restored in mouse embryo fibroblasts following p63 expression. In differentiating primary keratinocytes, TP63 and REDD-1 expression are coordinately downregulated, and ectopic expression of either gene inhibits in vitro differentiation. REDD1 appears to function in the regulation of reactive oxygen species (ROS); TP63 null fibroblasts have decreased ROS levels and reduced sensitivity to oxidative stress, which are both increased following ectopic expression of either TP63 or REDD-1. Thus, REDD-1 encodes a shared transcriptional target that implicates ROS in the p53-dependent DNA damage response and in p63-mediated regulation of epithelial differentiation.

Application Notes

The stated application concentrations are suggested starting points. Titration of the REDD-1 antibody may be required due to differences in protocols and secondary/substrate sensitivity.

Immunogen

A portion of amino acids 20-49 from the human protein was used as the immunogen for the REDD-1 antibody.

Storage

Aliquot the REDD-1 antibody and store frozen at -20oC or colder. Avoid repeated freeze-thaw cycles.

Cross
Bulk Quote Request Form
Name*:
Organization*:
Email*:
Phone Number*:
Catalog No.*:
Comments and Specifics(amount, formulation, etc.)*:
Validation code: Captchapackage Image


Can't read the image? click here to refresh.
    *required field

Your bulk quote request has been submitted successfully!

Please contact us if you have any questions.