• Tel: 858.663.9055
  • SeparatorEmail: info@nsjbio.com
  • Tel: 858.663.9055
  • Email: info@nsjbio.com
Home >> Antibodies >> Recombinant SF-1 Antibody / Steroidogenic Factor 1 / NR5A1

Recombinant SF-1 Antibody / Steroidogenic Factor 1 / NR5A1 [clone NR5A1/4368R] (V9450)

  Catalog No Formulation Size Price (USD)  
Image V9450-100UG 0.2 mg/ml in 1X PBS with 0.1 mg/ml BSA (US sourced), 0.05% sodium azide 100 ug 539
Image
V9450-20UG 0.2 mg/ml in 1X PBS with 0.1 mg/ml BSA (US sourced), 0.05% sodium azide 20 ug 249
Image
V9450SAF-100UG 1 mg/ml in 1X PBS; BSA free, sodium azide free 100 ug 539
Microvalidated Recrabbitmono
Bulk quote request
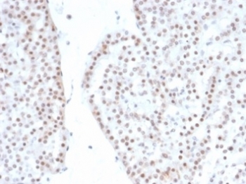
IHC staining of FFPE human renal oncocytoma with recombinant SF-1 antibody (clone NR5A1/4368R). HIER: boil tissue sections in pH 9 10mM Tris with 1mM EDTA for 20 min and allow to cool before testing.
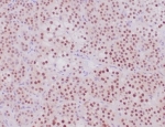
IHC staining of FFPE human adrenal cortical tumor tissue with recombinant SF-1 antibody (clone NR5A1/4368R). HIER: boil tissue sections in pH 9 10mM Tris with 1mM EDTA for 20 min and allow to cool before testing.
Availability 1-3 business days
Species Reactivity Human
Format Purified
Clonality Recombinant Rabbit Monoclonal
Isotype Rabbit IgG, kappa
Clone Name NR5A1/4368R
Purity Protein A/G affinity
UniProt Q13285
Localization Nuclear
Applications Immunohistochemistry (FFPE) : 1-2ug/ml
Limitations This recombinant SF-1 antibody is available for research use only.
Review this product on BioCompare and get a $20 Amazon gift card

Related Products

Description

Steroidogenic Factor 1 (SF-1) is considered an orphan nuclear receptor that belongs to subfamily 5. It was found to be a regulator of steroidogenic enzyme gene expression. Oxysterols are suggested as its ligands. It is expressed in all steroidogenic tissues, including the adrenal cortex, testicular Sertoli cells, and Leydig cells, ovarian theca, hypothalamus, and anterior pituitary. SF-1 plays an important role in adrenal and gonadal development.SF-1 is highly valuable marker to determine the adrenocortical origin of an adrenal mass.

Application Notes

Optimal dilution of the recombinant SF-1 antibody should be determined by the researcher.

Immunogen

A recombinant fragment of human SF-1 protein was used as the immunogen for the recombinant SF-1 antibody.

Storage

Aliquot the recombinant SF-1 antibody and store frozen at -20oC or colder. Avoid repeated freeze-thaw cycles.

Cross
Bulk Quote Request Form
Name*:
Organization*:
Email*:
Phone Number*:
Catalog No.*:
Comments and Specifics(amount, formulation, etc.)*:
Validation code: Captchapackage Image


Can't read the image? click here to refresh.
    *required field

Your bulk quote request has been submitted successfully!

Please contact us if you have any questions.