• Tel: 858.663.9055
  • SeparatorEmail: info@nsjbio.com
  • Tel: 858.663.9055
  • Email: info@nsjbio.com
Home >> Antibodies >> Recombinant MUC16 Antibody / CA125

Recombinant MUC16 Antibody / CA125 [clone OCA125/4505R] (V8758)

  Catalog No Formulation Size Price (USD)  
Image V8758-100UG 0.2 mg/ml in 1X PBS with 0.1 mg/ml BSA (US sourced) and 0.05% sodium azide 100 ug 539
Image
V8758-20UG 0.2 mg/ml in 1X PBS with 0.1 mg/ml BSA (US sourced) and 0.05% sodium azide 20 ug 249
Image
V8758SAF-100UG 1 mg/ml in 1X PBS; BSA free, sodium azide free 100 ug 539
Microvalidated Recrabbitmono
Bulk quote request
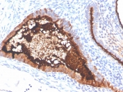
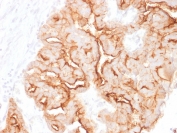
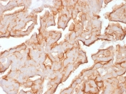
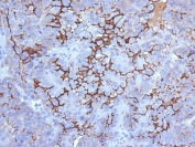
IHC staining of FFPE human ovarian carcinoma with recombinant MUC16 antibody (clone OCA125/4505R). HIER: boil tissue sections in pH 9 10mM Tris with 1mM EDTA for 20 min and allow to cool before testing.
IHC staining of FFPE human ovarian carcinoma with recombinant MUC16 antibody (clone OCA125/4505R). HIER: boil tissue sections in pH 9 10mM Tris with 1mM EDTA for 20 min and allow to cool before testing.
Availability 1-3 business days
Species Reactivity Human
Format Purified
Clonality Recombinant Rabbit Monoclonal
Isotype Rabbit IgG
Clone Name OCA125/4505R
Purity Protein A affinity chromatography
UniProt Q8WXI7
Localization Cell surface, cytoplasmic, secreted
Applications Immunohistochemistry (FFPE) : 1-2ug/ml for 30 minutes at RT
Limitations This recombinant MUC16 antibody is available for research use only.
Review this product on BioCompare and get a $20 Amazon gift card

Related Products

Description

CA125 also known as mucin 16, is a member of the mucin family glycoproteins. CA125 is a component of the ocular surface (including the cornea and conjunctiva), the respiratory tract and the female reproductive tract epithelia. Since CA125 is highly glycosylated it creates a hydrophilic environment that acts as a lubricating barrier against foreign particles and infectious agents on the apical membrane of epithelial cells. CA125 reacts with both normal tissues and neoplasms of fallopian tube, endometrium, endocervix and mesothelioma. It does not react with colon cancer. Normal tissues such as breast, liver, skin, kidney and spleen are also negative. Studies have shown that CA125 reacts with approximately 80% of epithelial ovarian neoplasms of serous, endometrioid, clear cell and undifferentiated types. No reactivity has been shown for mucinous ovarian tumors or in germ cell or hematopoietic tumors. This antibody is a useful aid for classification of a variety of tumors, such as some adenocarcinomas of the colon, breast carcinomas, malignant mesothelioma, uterine adenomatoid tumor, lung bronchoalveolar carcinoma, and ovarian endometrioid and serous carcinomas.

Application Notes

Optimal dilution of the recombinant MUC16 antibody should be determined by the researcher.

Immunogen

A portion of amino acids 12201-12300 from the human protein was used as the immunogen for the recombinant MUC16 antibody.

Storage

Store the recombinant MUC16 antibody at 2-8oC (with azide) or aliquot and store at -20oC or colder (without azide).

Cross
Bulk Quote Request Form
Name*:
Organization*:
Email*:
Phone Number*:
Catalog No.*:
Comments and Specifics(amount, formulation, etc.)*:
Validation code: Captchapackage Image


Can't read the image? click here to refresh.
    *required field

Your bulk quote request has been submitted successfully!

Please contact us if you have any questions.