• Tel: 858.663.9055
  • SeparatorEmail: info@nsjbio.com
  • Tel: 858.663.9055
  • Email: info@nsjbio.com
Home >> Antibodies >> Recombinant GRP94 Antibody / HSP90B1

Recombinant GRP94 Antibody / HSP90B1 [clone HSP90B1/3168R] (V8139)

  Catalog No Formulation Size Price (USD)  
Image V8139-100UG 0.2 mg/ml in 1X PBS with 0.1 mg/ml BSA (US sourced) and 0.05% sodium azide 100 ug 539
Image
V8139-20UG 0.2 mg/ml in 1X PBS with 0.1 mg/ml BSA (US sourced) and 0.05% sodium azide 20 ug 249
Image
V8139SAF-100UG 1 mg/ml in 1X PBS; BSA free, sodium azide free 100 ug 539
Microvalidated Recrabbitmono
Bulk quote request
Flow cytometry testing of PFA-fixed human HepG2 cells with recombinant GRP94 antibody (clone HSP90B1/3168R); Red=isotype control, Blue= recombinant GRP94 antibody.
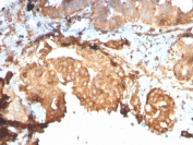
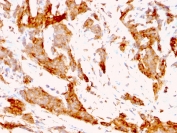
IHC staining of FFPE breast carcinoma with recombinant GRP94 antibody (clone HSP90B1/3168R). HIER: boil tissue sections in pH 9 10mM Tris with 1mM EDTA for 20 min and allow to cool before testing.
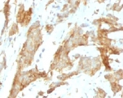
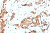
IHC staining of FFPE breast carcinoma with recombinant GRP94 antibody (clone HSP90B1/3168R). HIER: boil tissue sections in pH 9 10mM Tris with 1mM EDTA for 20 min and allow to cool before testing.
SDS-PAGE analysis of purified, BSA-free recombinant GRP94 antibody (clone HSP90B1/3168R) as confirmation of integrity and purity.
Availability 1-3 business days
Species Reactivity Human
Format Purified
Clonality Recombinant Rabbit Monoclonal
Isotype Rabbit IgG, kappa
Clone Name HSP90B1/3168R
Purity Protein A affinity chromatography
UniProt P14625
Localization Nuclear, cytoplasmic
Applications Flow Cytometry : 1-2ug/10^6 cells
Immunohistochemistry (FFPE) : 1-2ug/ml
Limitations This recombinant GRP94 antibody is available for research use only.
Review this product on BioCompare and get a $20 Amazon gift card

Related Products

Description

Recognizes a protein of 94kDa, which is identified as the glucose-regulated protein 94 (grp94) and also tumor rejection antigen (gp96). Grp94 shows a high degree of sequence homology with the heat shock protein 90 (hsp90). This MAb is highly specific to grp94 and shows minimal cross-reaction with other members of the HSP90 family. Grp's are a class of proteins unresponsive to heat shock and are induced by glucose deprivation. Grp94 has been briefly studied as a prognostic factor in breast cancer.

Application Notes

Optimal dilution of the recombinant GRP94 antibody should be determined by the researcher.

Immunogen

A recombinant full-length human protein was used as the immunogen for this recombinant GRP94 antibody.

Storage

Store the recombinant GRP94 antibody at 2-8oC (with azide) or aliquot and store at -20oC or colder (without azide).

Cross
Bulk Quote Request Form
Name*:
Organization*:
Email*:
Phone Number*:
Catalog No.*:
Comments and Specifics(amount, formulation, etc.)*:
Validation code: Captchapackage Image


Can't read the image? click here to refresh.
    *required field

Your bulk quote request has been submitted successfully!

Please contact us if you have any questions.