• Tel: 858.663.9055
  • SeparatorEmail: info@nsjbio.com
  • Tel: 858.663.9055
  • Email: info@nsjbio.com
Home >> Antibodies >> Recombinant FOXL2 Antibody / Forkhead box protein L2

Recombinant FOXL2 Antibody / Forkhead box protein L2 [clone FOXL2/7989R] (V5006)

  Catalog No Formulation Size Price (USD)  
Image V5006-100UG 0.2 mg/ml in 1X PBS with 0.1 mg/ml BSA (US sourced), 0.05% sodium azide 100 ug 539
Image
V5006-20UG 0.2 mg/ml in 1X PBS with 0.1 mg/ml BSA (US sourced), 0.05% sodium azide 20 ug 249
Image
V5006SAF-100UG 1 mg/ml in 1X PBS; BSA free, sodium azide free 100 ug 539
Microvalidated Recrabbitmono
Bulk quote request
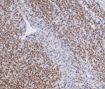
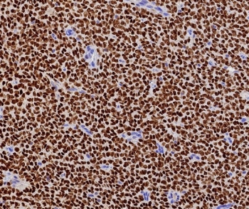
FFPE human ovarian adult granulosa cell tumor with recombinant FOXL2 antibody (clone FOXL2/7989R). HIER: boil tissue sections in pH 9 10mM Tris with 1mM EDTA for 20 min and allow to cool before testing.
IHC staining of FFPE human ovarian adult granulosa cell tumor tissue with recombinant FOXL2 antibody (clone FOXL2/7989R). HIER: boil tissue sections in pH 9 10mM Tris with 1mM EDTA for 20 min and allow to cool before testing.
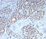
IHC staining of FFPE human parathyroid tissue with recombinant FOXL2 antibody (clone FOXL2/7989R). HIER: boil tissue sections in pH 9 10mM Tris with 1mM EDTA for 20 min and allow to cool before testing.
Availability 1-3 business days
Species Reactivity Human
Format Purified
Clonality Recombinant Rabbit Monoclonal
Isotype Rabbit IgG, kappa
Clone Name FOXL2/7989R
Purity Protein A/G affinity
UniProt P58012
Localization Nucleus
Applications Immunohistochemistry (FFPE) : 1-2ug/ml for 30 min at RT
Limitations This recombinant FOXL2 antibody is available for research use only.
Review this product on BioCompare and get a $20 Amazon gift card

Related Products

Description

FOXL2 is a critical factor essential for ovary differentiation and maintenance, and repression of the genetic program for somatic testis determination. It prevents trans-differentiation of ovary to testis through transcriptional repression of the sertoli cell-promoting gene SOX9. FOXL2 is mainly expressed in ovary, parathyroid gland and sex cord-stromal tumors. FOXL2 is generally used for diagnosis of sex cord-stromal tumors with Inhibin, Calretinin and SF-1.

Application Notes

Optimal dilution of the recombinant FOXL2 antibody should be determined by the researcher.

Immunogen

Recombinant full-length human FOXL2 protein was used as the immunogen for the recombinant FOXL2 antibody.

Storage

Aliquot the recombinant FOXL2 antibody and store frozen at -20oC or colder. Avoid repeated freeze-thaw cycles.

Cross
Bulk Quote Request Form
Name*:
Organization*:
Email*:
Phone Number*:
Catalog No.*:
Comments and Specifics(amount, formulation, etc.)*:
Validation code: Captchapackage Image


Can't read the image? click here to refresh.
    *required field

Your bulk quote request has been submitted successfully!

Please contact us if you have any questions.