• Tel: 858.663.9055
  • SeparatorEmail: info@nsjbio.com
  • Tel: 858.663.9055
  • Email: info@nsjbio.com
Home >> Antibodies >> Recombinant EBV Antibody / Epstein-Barr Virus

Recombinant EBV Antibody / Epstein-Barr Virus [clone EBV/9620R] (V5374)

  Catalog No Formulation Size Price (USD)  
Image V5374-100UG 0.2 mg/ml in 1X PBS with 0.1 mg/ml BSA (US sourced), 0.05% sodium azide 100 ug 539
Image
V5374-20UG 0.2 mg/ml in 1X PBS with 0.1 mg/ml BSA (US sourced), 0.05% sodium azide 20 ug 249
Image
V5374SAF-100UG 1 mg/ml in 1X PBS; BSA free, sodium azide free 100 ug 539
Microvalidated Recrabbitmono
Bulk quote request
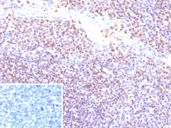
IHC staining of FFPE human tonsil tissue with recombinant EBV antibody (clone EBV/9620R). Inset: PBS used in place of primary Ab (secondary Ab negative control).
SDS-PAGE analysis of purified, BSA-free recombinant EBV antibody (clone EBV/9620R) as confirmation of integrity and purity.
Availability 1-3 business days
Species Reactivity Human
Format Purified
Clonality Recombinant Rabbit Monoclonal
Isotype Rabbit IgG, kappa
Clone Name EBV/9620R
Purity Protein A/G affinity
Applications Immunohistochemistry (FFPE) : 1-2ug/ml
Limitations This recombinant EBV antibody is available for research use only.
Review this product on BioCompare and get a $20 Amazon gift card

Related Products

Description

This antibody is specific to 60kDa latent membrane protein (LMP-1) encoded by the BNLF1 gene of the EBV. This antibody stains strongly with EBV-positive lymphoblastoid cell lines and EBV infected B cell immunoblasts in infectious mononucleosis. EBV, also designated human herpesvirus 4 (HHV-4), is a member of the herpesvirus family and is one of the most common human viruses. EBV infects B cells and, though often asymptomatic, it can cause infectious mononucleosis, a disease characterized by fatigue, fever, sore throat and muscle soreness.

Application Notes

Optimal dilution of the recombinant EBV antibody should be determined by the researcher.

Immunogen

A recombinant fusion protein containing the sequence of bacterial beta-galactosidase and the carboxyl half of EBV-encoded LMP protein was used as the immunogen for the recombinant EBV antibody.

Storage

Aliquot the recombinant EBV antibody and store frozen at -20oC or colder. Avoid repeated freeze-thaw cycles.

Cross
Bulk Quote Request Form
Name*:
Organization*:
Email*:
Phone Number*:
Catalog No.*:
Comments and Specifics(amount, formulation, etc.)*:
Validation code: Captchapackage Image


Can't read the image? click here to refresh.
    *required field

Your bulk quote request has been submitted successfully!

Please contact us if you have any questions.