• Tel: 858.663.9055
  • SeparatorEmail: info@nsjbio.com
  • Tel: 858.663.9055
  • Email: info@nsjbio.com
Home >> Antibodies >> Recombinant CD44v4 Antibody

Recombinant CD44v4 Antibody [clone rCD44v4/1219] (V3590)

  Catalog No Formulation Size Price (USD)  
Image V3590-100UG 0.2 mg/ml in 1X PBS with 0.1 mg/ml BSA (US sourced) and 0.05% sodium azide 100 ug 539
Image
V3590-20UG 0.2 mg/ml in 1X PBS with 0.1 mg/ml BSA (US sourced) and 0.05% sodium azide 20 ug 249
Image
V3590SAF-100UG 1 mg/ml in 1X PBS; BSA free, sodium azide free 100 ug 539
Image
V3590IHC-7ML Prediluted in 1X PBS with 0.1 mg/ml BSA (US sourced) and 0.05% sodium azide; *For IHC use only* 7 ml 539
Microvalidated Recmousemono
Bulk quote request
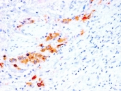
IHC testing of FFPE human cervical squamos cell carcinoma with recombinant CD44v4 antibody (clone rCD44v4/1219). Required HIER: steam sections in pH 9 10mM Tris with 1mM EDTA buffer for 10-20 min.
IHC testing of FFPE human bladder with recombinant CD44v4 antibody (clone rCD44v4/1219). Required HIER: steam sections in pH 9 10mM Tris with 1mM EDTA buffer for 10-20 min.
SDS-PAGE analysis of purified, BSA-free recombinant CD44v4 antibody (clone rCD44v4/1219) as confirmation of integrity and purity.
Availability 1-3 business days
Species Reactivity Human
Format Purified
Clonality Recombinant Mouse Monoclonal
Isotype Mouse IgG2a, kappa
Clone Name rCD44v4/1219
Purity Protein G affinity chromatography
UniProt P16070
Localization Cell surface, cytoplasmic
Applications Immunohistochemistry (FFPE) : 1-2ug/ml for 30 min at RT
Limitations This recombinant CD44v4 antibody is available for research use only.
Review this product on BioCompare and get a $20 Amazon gift card

Related Products

Description

This antibody recognizes an epitope encoded by exon v4 on the variant portion of human CD44. The CD44 molecule belongs to a family of cellular adhesion molecules found on a wide range of normal and malignant cells in epithelial, mesothelial and hemopoiesis tissues. It is a single gene with 20 exons, of which 10 are normally expressed to encode the basic CD44 (H-CAM) molecule. The additional 10 exons (v1 to v10) are only expressed by alternative splicing of the nuclear RNA. The expression of specific cell adhesion molecule CD44 splice variants has been reported to be associated with metastasis in certain human malignancies.

Application Notes

Titering of the recombinant CD44v4 antibody may be required for optimal performance.

1. The prediluted format is supplied in a dropper bottle and is optimized for use in IHC. After epitope retrieval step (if required), drip mAb solution onto the tissue section and incubate at RT for 30 min.

Immunogen

An amino acid sequence from the variant 4 domain of CD44 was used as the immunogen for the recombinant CD44v4 antibody.

Storage

Store the recombinant CD44v4 antibody at 2-8oC (with azide) or aliquot and store at -20oC or colder (without azide).

Cross
Bulk Quote Request Form
Name*:
Organization*:
Email*:
Phone Number*:
Catalog No.*:
Comments and Specifics(amount, formulation, etc.)*:
Validation code: Captchapackage Image


Can't read the image? click here to refresh.
    *required field

Your bulk quote request has been submitted successfully!

Please contact us if you have any questions.