• Tel: 858.663.9055
  • SeparatorEmail: info@nsjbio.com
  • Tel: 858.663.9055
  • Email: info@nsjbio.com
Home >> Antibodies >> RDH5 Antibody

RDH5 Antibody (R35568)

  Catalog No Formulation Size Price (USD)  
Image R35568-100UG 0.5 mg/ml in 1X TBS, pH7.3, with 0.5% BSA (US sourced) and 0.02% sodium azide 100 ug 449
Bulk quote request
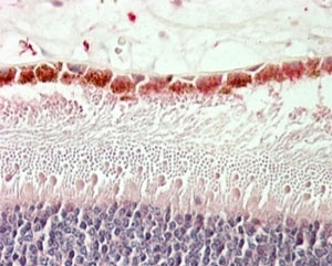
IHC staining of FFPE human retina with RDH5 antibody at 5ug/ml. HIER: steamed with pH6 citrate buffer, AP-staining. Staining of the ganglion cell layer is observed.
Western blot testing of mouse eye lysate with RDH5 antibody at 2ug/ml. Predicted/observed molecular weight: ~35kDa.
Availability 1-3 business days
Species Reactivity Human, Mouse
Predicted Reactivity Dog
Format Antigen affinity purified
Clonality Polyclonal (goat origin)
Isotype Goat Ig
Purity Antigen affinity
Gene ID 5959
Applications Western Blot : 2-4ug/ml
Immunohistochemistry (FFPE) : 5-10ug/ml
ELISA (peptide) LOD : 1:8000
Limitations This RDH5 antibody is available for research use only.
Review this product on BioCompare and get a $20 Amazon gift card

Description

Additional name(s) for this target protein: Retinol dehydrogenase 5

Application Notes

Optimal dilution of the RDH5 antibody should be determined by the researcher.

Immunogen

Amino acids RDRQSLPASNAFV were used as the immunogen for this RDH5 antibody.

Storage

Aliquot and store the RDH5 antibody at -20oC.

Cross
Bulk Quote Request Form
Name*:
Organization*:
Email*:
Phone Number*:
Catalog No.*:
Comments and Specifics(amount, formulation, etc.)*:
Validation code: Captchapackage Image


Can't read the image? click here to refresh.
    *required field

Your bulk quote request has been submitted successfully!

Please contact us if you have any questions.