• Tel: 858.663.9055
  • SeparatorEmail: info@nsjbio.com
  • Tel: 858.663.9055
  • Email: info@nsjbio.com
Home >> Antibodies >> RanBP1 Antibody / Ran-specific binding protein 1

RanBP1 Antibody / Ran-specific binding protein 1 (R32725)

  Catalog No Formulation Size Price (USD)  
Image R32725 0.5mg/ml if reconstituted with 0.2ml sterile DI water 100 ug 439
Bulk quote request
IHC testing of FFPE human lung cancer tissue with RanBP1 antibody at 1ug/ml. Required HIER: steam section in pH6 citrate buffer for 20 min and allow to cool prior to testing.
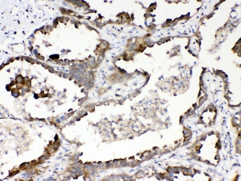
IHC testing of FFPE human intestinal cancer tissue with RanBP1 antibody at 1ug/ml. Required HIER: steam section in pH6 citrate buffer for 20 min and allow to cool prior to testing.
IHC testing of FFPE mouse intestine tissue with RanBP1 antibody at 1ug/ml. Required HIER: steam section in pH6 citrate buffer for 20 min and allow to cool prior to testing.
IHC testing of FFPE rat intestine tissue with RanBP1 antibody at 1ug/ml. Required HIER: steam section in pH6 citrate buffer for 20 min and allow to cool prior to testing.
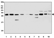
Western blot testing of 1) human K562, 2) human HEK293, 3) human HL60, 4) human U-2 OS, 5) human A431, 6) human HepG2, 7) human U937, 8) rat testis, 9) rat C6 and 10) mouse testis tissue lysate with RanBP1 antibody. Expected molecular weight 23-26 kDa.
Immunofluorescent staining of FFPE human A431 cells with RanBP1 antibody (green) at 2ug/ml and DAPI nuclear stain (blue). HIER: steam section in pH6 citrate buffer for 20 min.
Flow cytometry testing of human U937 cells with RanBP1 antibody at 1ug/million cells (blocked with goat sera); Red=cells alone, Green=isotype control, Blue= RanBP1 antibody.
Availability 1-3 business days
Species Reactivity Human, Mouse, Rat
Format Antigen affinity purified
Clonality Polyclonal (rabbit origin)
Isotype Rabbit IgG
Purity Antigen affinity
Buffer Lyophilized from 1X PBS with 2.5% BSA, 0.025% sodium azide
UniProt P43487
Localization Cytoplasmic
Applications Western Blot : 0.5-1ug/ml
Immunohistochemistry (FFPE) : 1-2ug/ml
Immunofluorescence : 2-4ug/ml
Flow Cytometry : 1-3ug/million cells
Limitations This RanBP1 antibody is available for research use only.
Review this product on BioCompare and get a $20 Amazon gift card

Related Products

  • Applications : WB, IHC, ELISA (peptide)
    Reactivity : Human
  • Applications : WB, IF, Direct ELISA
    Reactivity : Human

Description

Ran-specific binding protein 1 is an enzyme that in humans is encoded by the RANBP1 gene. This gene encodes a protein that forms a complex with Ras-related nuclear protein (Ran) and metabolizes guanoside triphosphate (GTP). This complex participates in the regulation of the cell cycle by controlling transport of proteins and nucleic acids into the nucleus. There are multiple pseudogenes for this gene on chromosomes 9, 12, 17, and X. Alternative splicing results in multiple transcript variants.

Application Notes

Optimal dilution of the RanBP1 antibody should be determined by the researcher.

Immunogen

Amino acids A2-Q201 from the human protein were used as the immunogen for the RanBP1 antibody.

Storage

After reconstitution, the RanBP1 antibody can be stored for up to one month at 4oC. For long-term, aliquot and store at -20oC. Avoid repeated freezing and thawing.

Cross
Bulk Quote Request Form
Name*:
Organization*:
Email*:
Phone Number*:
Catalog No.*:
Comments and Specifics(amount, formulation, etc.)*:
Validation code: Captchapackage Image


Can't read the image? click here to refresh.
    *required field

Your bulk quote request has been submitted successfully!

Please contact us if you have any questions.