• Tel: 858.663.9055
  • SeparatorEmail: info@nsjbio.com
  • Tel: 858.663.9055
  • Email: info@nsjbio.com
Home >> Antibodies >> RALBP1 Antibody

RALBP1 Antibody (RQ4300)

  Catalog No Formulation Size Price (USD)  
Image RQ4300 0.5mg/ml if reconstituted with 0.2ml sterile DI water 100 ug 439
Bulk quote request
Western blot testing of human 1) HeLa, 2) placenta, 3) HepG2, 4) SGC-7901, 5) 22RV1, 6) rat lung, 7) mouse lung, 8) mouse testis and 9) mouse ovary with RALBP1 antibody at 0.5ug/ml. Predicted molecular weight ~76 kDa, observed molecular weight: 90-95 kDa.
Immunofluorescent staining of FFPE human U-2 OS cells with RALBP1 antibody (green) and DAPI nuclear stain (blue). HIER: boil tissue sections in pH6, 10mM citrate buffer, for 20 min and allow to cool before testing.
Flow cytometry testing of human U-2 OS cells with RALBP1 antibody at 1ug/million cells (blocked with goat sera); Red=cells alone, Green=isotype control, Blue= RALBP1 antibody.
IHC staining of FFPE human ovarian cancer with RALBP1 antibody. HIER: boil tissue sections in pH6, 10mM citrate buffer, for 20 min and allow to cool before testing.
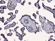
IHC staining of FFPE human placenta with RALBP1 antibody. HIER: boil tissue sections in pH6, 10mM citrate buffer, for 20 min and allow to cool before testing.
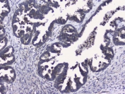
IHC staining of FFPE mouse small intestine with RALBP1 antibody. HIER: boil tissue sections in pH6, 10mM citrate buffer, for 20 min and allow to cool before testing.
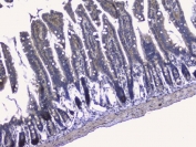
IHC staining of FFPE rat small intestine with RALBP1 antibody. HIER: boil tissue sections in pH6, 10mM citrate buffer, for 20 min and allow to cool before testing.
Availability 1-3 business days
Species Reactivity Human, Mouse, Rat
Format Antigen affinity purified
Clonality Polyclonal (rabbit origin)
Isotype Rabbit IgG
Purity Antigen affinity purified
Buffer Lyophilized from 1X PBS with 2% Trehalose and 0.025% sodium azide
UniProt Q15311
Localization Cytoplasmic, nuclear, cell membrane
Applications Western Blot : 0.5-1ug/ml
Immunohistochemistry (FFPE) : 1-2ug/ml
Immunofluorescence (FFPE) : 2-4ug/ml
Flow Cytometry : 1-3ug/million cells
Direct ELISA : 0.1-0.5ug/ml
Limitations This RALBP1 antibody is available for research use only.
Review this product on BioCompare and get a $20 Amazon gift card

Related Products

Description

RalA-binding protein 1 is a protein that in humans is encoded by the RALBP1 gene. Small G proteins, such as RAL, have GDP-bound inactive and GTP-bound active forms, which shift from the inactive to the active state through the action of RALGDS, which in turn is activated by RAS. RALBP1 plays a role in receptor-mediated endocytosis and is a downstream effector of the small GTP-binding protein RAL. RALBP1 is also the dominant transporter of lipid peroxidation-derived glutathione conjugates and participates in several mitotic events, including inactivation of endocytosis and separation and polar movement of centrioles and appropriate distribution of mitochondria to daughter cells following mitosis.

Application Notes

Optimal dilution of the RALBP1 antibody should be determined by the researcher.

Immunogen

A recombinant human protein corresponding to amino acids K239-Q506 was used as the immunogen for the RALBP1 antibody.

Storage

After reconstitution, the RALBP1 antibody can be stored for up to one month at 4oC. For long-term, aliquot and store at -20oC. Avoid repeated freezing and thawing.

Cross
Bulk Quote Request Form
Name*:
Organization*:
Email*:
Phone Number*:
Catalog No.*:
Comments and Specifics(amount, formulation, etc.)*:
Validation code: Captchapackage Image


Can't read the image? click here to refresh.
    *required field

Your bulk quote request has been submitted successfully!

Please contact us if you have any questions.