• Tel: 858.663.9055
  • SeparatorEmail: info@nsjbio.com
  • Tel: 858.663.9055
  • Email: info@nsjbio.com
Home >> Antibodies >> RAB11B Antibody

RAB11B Antibody (RQ4926)

  Catalog No Formulation Size Price (USD)  
Image RQ4926 0.5mg/ml if reconstituted with 0.2ml sterile DI water 100 ug 439
Bulk quote request
Western blot testing of human 1) placenta, 2) A549, 3) U-87 MG, 4) PC-3, 5) HeLa, 6) Caco-2 and 7) HL-60 lysate with RAB11B antibody at 0.5ug/ml. Predicted molecular weight ~24 kDa.
Western blot testing of 1) rat spleen, 2) rat lung, 3) rat ovary, 4) rat kidney, 5) mouse lung, 6) mouse ovary, 7) mouse kidney and 8) mouse SP2/0 lysate with RAB11B antibody at 0.5ug/ml. Predicted molecular weight ~24 kDa.
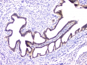
IHC staining of FFPE human esophageal squamous cancer with RAB11B antibody at 1ug/ml. HIER: boil tissue sections in pH6, 10mM citrate buffer, for 10-20 min and allow to cool before testing.
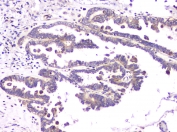
IHC staining of FFPE human ovarian cancer with RAB11B antibody at 1ug/ml. HIER: boil tissue sections in pH6, 10mM citrate buffer, for 10-20 min and allow to cool before testing.
Flow cytometry testing of human A549 cells with RAB11B antibody at 1ug/10^6 cells (blocked with goat sera); Red=cells alone, Green=isotype control, Blue= RAB11B antibody.
IHC staining of FFPE mouse ovary with RAB11B antibody at 1ug/ml. HIER: boil tissue sections in pH6, 10mM citrate buffer, for 10-20 min and allow to cool before testing.
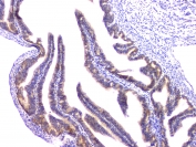
IHC staining of FFPE rat ovary with RAB11B antibody at 1ug/ml. HIER: boil tissue sections in pH6, 10mM citrate buffer, for 10-20 min and allow to cool before testing.
Immunofluorescent staining of FFPE human A431 cells with RAB11B antibody (green) and DAPI nuclear stain (blue). HIER: steam section in pH6 citrate buffer for 20 min.
Availability 1-3 business days
Species Reactivity Human, Mouse, Rat
Format Antigen affinity purified
Clonality Polyclonal (rabbit origin)
Isotype Rabbit IgG
Purity Antigen affinity purified
Buffer Lyophilized from 1X PBS with 2% Trehalose and 0.025% sodium azide
UniProt Q15907
Localization Cytoplasmic
Applications Western Blot : 0.5-1ug/ml
Immunohistochemistry (FFPE) : 1-2ug/ml
Flow Cytometry : 1-3ug/10^6 cells
Immunofluorescence : 2-4ug/ml
Limitations This RAB11B antibody is available for research use only.
Review this product on BioCompare and get a $20 Amazon gift card

Related Products

  • Applications : WB, IF, FACS
    Reactivity : Human, Mouse, Rat

Description

Ras-related protein Rab-11B is a protein that in humans is encoded by the RAB11B gene. It is mapped to 19p13.2. The Ras superfamily of small GTP-binding proteins, which includes the Ras, Ral, Rho, Rap, and Rab families, is involved in controlling a diverse set of essential cellular functions. The Rab family, including RAB11B, appears to play a critical role in regulating exocytotic and endocytotic pathways.

Application Notes

Optimal dilution of the RAB11B antibody should be determined by the researcher.

Immunogen

Amino acids QKQIADRAAHDESPGNNVVDISVPPTTDGQKPNKLQCC from the human protein were used as the immunogen for the RAB11B antibody.

Storage

After reconstitution, the RAB11B antibody can be stored for up to one month at 4oC. For long-term, aliquot and store at -20oC. Avoid repeated freezing and thawing.

Cross
Bulk Quote Request Form
Name*:
Organization*:
Email*:
Phone Number*:
Catalog No.*:
Comments and Specifics(amount, formulation, etc.)*:
Validation code: Captchapackage Image


Can't read the image? click here to refresh.
    *required field

Your bulk quote request has been submitted successfully!

Please contact us if you have any questions.